feature
Applying the Most Recent Clinical Data To Improve Glaucoma Treatment
The
following case study will give clinicians new ideas on how to use travopost
0.004% (TRAVATAN® solution) in their daily practice to better manage
glaucoma patients.
By Murray Fingeret, O.D.
|
|
| Figure 1 |
|
|
|
Figure 2 |
As demonstrated in this case study, travoprost 0.004% (TRAVATAN® solution) lowered IOP significantly in one of my patients with early, open-angle glaucoma (OAG) when it was given alone.
Success in the early stages
A 66-year-old white man presented with blurred near vision. His medical history included hypertension. He wasn't using any systemic medications, although he was being managed on a low-salt diet.
Uncorrected visual acuity was 20/20 in each eye at distance. A frequency doubling technology (FDT) perimetry N30-5 screening field, performed at the beginning of the examination, revealed a repeatable defect in the left eye.
IOPs were 22 mm Hg OD and 23 mm Hg OS at 9 a.m. A dilated fundus examination in the right eye showed that the optic nerve was slightly smaller than average, with the inferior-superior-nasal-temporal (ISNT) rule noted as questionable (Figure 1).
The left eye failed the ISNT rule with the neuroretinal rim tissue thin, especially inferiorly (Figure 2). The cup in the left eye had a vertical shape with zone beta peripapillary atrophy noted temporally. There were no signs of disc hemorrhage or retinal nerve fiber layer (RNFL) defects in either eye.
Glaucomatous damage was suspected in the left eye, so we performed pachymetry. The corneal thickness measured at 495 μm OD and 497 μm OS. Optic nerve imaging performed with the Heidelberg Retinal Tomograph (HRT) (Figure 3) showed a smaller-than-average disc, thin rim tissue and a large cup especially OS. Moorfields Regression Analysis (MRA) failed in each eye, though more sectors were flagged OS.
The GDx VCC printout (Figure 4) showed that each eye had thin RNFL, with the nerve fiber indicator (NFI) being higher OS. The temporal-superior-nasal-inferior-temporal (TSNIT) curves of the RNFL were thin in each eye, although they remained within the so-called normal range (5% to 95% confidence levels). Optical coherence tomography (OCT) with the Stratus OCT showed loss, although it was greater OD (Figure 5).
|
|
|
Figure 3 |
The patient returned in a few weeks, at which time his IOPs were 21 mm Hg OD and 24 mm Hg OS at 10 a.m. SITA Standard 24-2 visual fields were full and reliable in each eye (Figures 6, 7). Gonioscopy showed wide-open angles in each eye.
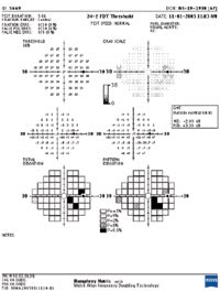
FDT 24-2 threshold testing, using the Matrix perimeter, found defects in each eye (Figures 8, 9). The defect in the right eye extended inferiorly from the blind spot (inferior partial arcuate). The left eye's defect extended both inferiorly and superiorly from the blind spot (double partial arcuate scotoma).
The FDT Matrix 24-2 defects repeated in each eye; 24-2 SITA SWAP showed a defect extending inferiorly from the blind spot in the right eye, but the left eye was full and did not replicate the defect seen with the FDT.
This is a case of early, primary open-angle glaucoma, with optic-nerve damage present. But functional loss was seen only with one of the newer forms of perimetry.
We prescribed travoprost 0.004% (TRAVATAN® solution) OU q.h.s. to meet a target IOP goal of 15 mm Hg to 17 mm Hg.
One month later, we learned the patient tolerated the drug well and achieved IOPs of 16 mm Hg OD and 17 mm Hg OS.
Given these good results, the patient will continue using travoprost and return for follow-up in 3 months.
|
|
|
| Figure 4 | Figure 5 | Figure 6 |
|
|
|
| Figure 7 | Figure 8 | Figure 9 |


