Beyond BIO
Reviewing how optomap technology improves disease detection.
Jeffry Gerson, OD (moderator): I would like to begin our discussion with a simple question. When you are examining the retina, what does field of view mean to you?
Mike Rothschild, OD: To me, field of view means how much of the retina you can see at the same time.
Steven R. Warstadt, OD: I explain field of view to my patients as looking through a keyhole in a door. Looking through the keyhole, you can't see very much. But if you open the door and walk inside, you can see the entire room. I liken my use of the optomap to walking inside the room.
David W. Nelson, OD: In addition to the size of the field of view, how well it can be seen is important. Magnification and the ability to establish in what retinal layer pathology is located are also key capabilities. We need to be able to study the field of view in detail.
Jack Schaeffer, OD: Also, there is a difference between field of view on a picture vs. in a patient. Some patients are so light sensitive that you may think you have a field of view, but it is fleeting. Therefore, the quality of the field of view is a consideration. The optomap is a way to improve the quality of the field of view.
Dr. Gerson: To summarize, while the size of the retinal field of view is important, clinical relevance goes beyond how much of the retina you can see, i.e., quantity. It's equally important to be able to manipulate the acquired images to obtain a quality view.
Ultra-widefield Imaging in Combination With Other Diagnostic Tools
Dr. Schaeffer: Doctors sometimes ask me why I need the optomap, when I can obtain the same field of view with binocular indirect ophthalmoscopy (BIO). But those of us who use the optomap technology know it is not the same. With BIO, the view is like a collage I had to put together. The optomap images give me the entire field of view. Then I can go back and study particular pieces as needed. To me, that is part of a high-level eye exam. It's a simultaneous field of view.
| I explain field of view to my patients as looking through a keyhole in a door. Looking through the keyhole, you can't see very much. But if you open the door and walk inside, you can see the entire room. I liken my use of the optomap to walking inside the room. — Steven R. Warstadt, OD |
Dr. Gerson: Exactly. I explain to patients that the optomap allows me to see the whole forest at one time instead of just a few trees. I can see how one area relates to the rest of the retina, which in my opinion adds clinical value for diagnoses. I can see things on the optomap images that I don't see clinically, or I see things better. Is that your experience as well?
Dr. Nelson: The optomap absolutely improves my ability to view the peripheral retina, and the software enables me to dial in magnification and separate the retinal layers to determine the location of pathology, both of which are extremely important.
Dr. Schaeffer: None of us has a day where we can spend 20 minutes on BIO to cover the entire retina on every patient. It is humanly impossible. With the optomap, I can see approximately 82% of the retina, which is everything I need to see. I tell patients this is the most important test I will do on them during their exam. It is backed by evidence-based medicine. But I also truly believe that using the optomap, pupil dilation, BIO and a corneal lens allow me to be the best doctor I can be.
Dr. Gerson: Several recent papers have shown using an Optos widefield instrument in combination with other diagnostic testing, including optomap-guided ophthalmoscopy, improves detection of a variety of ocular conditions.1-3 Do you find this to be the case?
Dr. Nelson: The optomap gives me a starting place. When I need to see something in more detail, I use other instrumentation that we've always used to find and locate that pathology and determine my course of action.
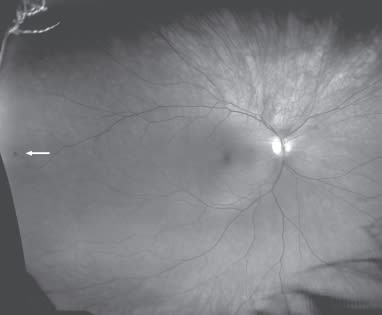
Figure 1. Retinal tear
Field of View Differences Among Various Retinal Imaging Platforms
Dr. Gerson: Let's talk about the Optos imaging system in relation to other diagnostic testing. Should it be exclusive of or complementary to optical coherence tomography (OCT)?
Dr. Rothschild: They definitely complement one another. They give us different views of the same thing.
Dr. Schaeffer: I agree. And I would add that the optomap changes the way we do an exam by helping to discover pathology. Then the OCT provides additional information. When we see macular edema or an epiretinal membrane with the optomap, for example, it still needs to be monitored with OCT. So I think they're very complementary if we want to practice at a high level.
Dr. Nelson: The optomap is the roadmap, and the OCT is the dial-in tool for when you want to see a little more detail in a particular area.
Dr. Gerson: How does the view with a traditional fundus camera compare to the view with the optomap?
Dr. Schaeffer: They both have a place. Once you've done an optomap and you want to take a highly magnified picture of, say, a macular lesion or something in the optic nerve, you can use the fundus camera. Really, that's all you can do with a traditional camera. Although I believe that practices with a significant glaucoma segment should have a fundus camera for stereo photos.
Dr. Rothschild: I feel exactly the same way. The optomap and the fundus camera are complementary. You have to determine what you are most comfortable with. I use the fundus camera for examining details. It is like using the car navigation system. At the outset, I like to see the entire trip. As I get closer to the destination, I zoom in closer and closer to see the details of the map.
Figure 2. Peripheral retinal hemorrage
Dr. Gerson: Some of our colleagues might argue that they can do the same thing with a fundus camera that they do with the optomap.
Dr. Warstadt: They can't. That is the benefit of having the optomap. You obtain an ultra-wide field of view.
Dr. Gerson: An interesting study on this topic was done at the White Rock Optometry Clinic in Canada.4 They found 44% more pathology using the optomap as opposed to a digital fundus camera. A total of 82 pathologies were detected with one or both devices. Of the 82 pathologies, 81 (98.8%) were detected by the optomap, and 45 (54.9%) were detected by the fundus camera. Other studies have reached similar conclusions. How do you use the optomap for monitoring macular pathology?
Dr. Nelson: I use the ResMax software and find it very sufficient. The optomap does just about everything I need it to do. A fundus camera is much more limiting because it only captures the posterior pole.
| I truly believe that using the optomap, pupil dilation, BIO and a corneal lens allows me to be the best doctor I can be. — Jack Schaeffer, OD |
Dr. Gerson: Doctors buying equipment sometimes ask me whether they should get a fundus camera or the optomap imaging system first. If they're making their first investment in one of the two, I recommend getting the optomap first. It has broader application and applies to more patients. Also, from a financial perspective, we want to buy equipment that allows us to at least break even financially. Typically, the optomap allows us to exceed breaking even, which then makes buying a fundus camera possible.
| The optomap and the fundus camera are complementary. … I use the fundus camera for examining details. It is like using the car navigation system. At the outset, I like to see the entire trip. As I get closer to the destination, I zoom in closer and closer to see the details of the map. — Mike Rothschild, OD |
Dr. Schaeffer: We are not going to miss macular or optic nerve pathology with our eyes. We would be poor doctors if we did. And a fundus camera is not going to pick up much that we would not see with our eyes. While it's useful for documenting pathology, it's not going to help with discovering pathology.
On the other hand, the periphery can be difficult to visualize due to a number of factors, such as patient eye movement, light sensitivity, tearing, and so on.
This is why the optomap represents a paradigm shift. It recognizes pathology that we can subsequently look more closely at by other means.
Revealing "Hidden" Ocular and Systemic Pathology
Dr. Gerson: The retinal view we can obtain with the optomap has been enlightening in regard to previously missed pathologies. For example, I now see far more choroidal nevi than I was seeing in the past during regular dilated exams.
Dr. Nelson: One of the pathologies we usually would not see during a regular dilated exam but that we do see with the optomap imaging is small microhemorrhages, 20-�m hemorrhages, in the periphery. They're very common.
Dr. Schaeffer: It's a testament to how this technology has filled a void and created a new level of care that makes us all better doctors, especially when the condition is something that could be devastating, such as a choroidal nevus that could be an early sign of a tumor.
Dr. Gerson: On many, many occasions I have seen things with the optomap that I had not seen before or probably would not have seen without it.
Dr. Schaeffer: Another doctor in our practice spotted a small inferior retinal hole in one of our patients, a young 5D myope. At a subsequent visit, I obtained an optomap and went in to take a look with BIO. I explained to the patient that since he had no symptoms, we would just monitor that small hole. Then I opened the optomap and saw a superior hole with a cuff of fluid — which is a completely different situation — that had been missed.
Dr. Rothschild: I recently examined our office manager's husband, a healthy young man with no vision complaints. He came in because his wife convinced him to get an exam. The optomap revealed a peripheral retinal tear. We sent him to the retinal surgeon, who performed laser surgery.
Dr. Gerson: Examining a completely healthy 16-year-old female patient recently, I certainly wasn't expecting any retinal problems. However, when I looked at her optomap results, I realized she had a retinal hemorrhage. I questioned her further, then sent her to her primary care doctor for lab work. It turns out she was anemic. For me and my staff members, this was a great example of how important it is to use this technology on everybody, not just older patients or those with suspected pathology. We never know who will have pathology.
Dr. Warstadt: I saw a patient in her mid-50s with a history of breast cancer this past summer. She came in for a routine eye exam. Her last exam was with another practitioner approximately 2 years prior and at that time, she had refused dilation. Using the optomap, we discovered a metastatic cancer lesion in her retina. The oncologist found no other cancers in her body, but she had to have radiation treatment.
Dr. Nelson: I had a 51-year-old gentleman who was looking to buy new eyeglasses. I could not get him corrected better than 20/40 in one eye. The other eye was best corrected to 20/100 due to amblyopia. We couldn't get a blood pressure on him. I used the optomap to help him understand why. He had hemorrhaging in both eyes. I sent him to the emergency room, where they did get a blood pressure, 260/160. He had an MRI and a CT scan and was admitted. The optomap was invaluable in getting him to stop denying his high blood pressure and receive immediate treatment. In this case, the Optos technology was literally life-saving. OM
References
1. Revelli EJ, Lambreghts K, Barker FM. A multi-center, open, non-randomized comparison trial of standard and steered optomap Retinal Exam and binocular indirect ophthalmoscopy. Invest Ophthalmol Vis Sci 2005;46: E-Abstract 3282.
2. Nath S, Sherman J, Hossain SM. Comparison of panoramic imaging (Optos P200C) with traditional dilated retinal evaluation. Invest Ophthalmol Vis Sci 2009;50: E-Abstract 339.
3. Brown K, Rah M. Comparison of traditional and targeted ophthalmoscopy with the P200C Scanning Laser Ophthalmoscope. Optometry 2009;80(6):300-301.
4. Ertel T, Curry T, Sherk M, Donnelly P. Retinal evaluation efficacy of a scanning laser ophthalmoscope (Optos P200) compared to a digital retinal camera. Available online at www.optos.com/Global/documents/prof_optom_case_WhiteRock.pdf. Last accessed March 10, 2010.


