allergy
Managing Allergy in Your Practice
How to find and treat allergy to increase patient flow.
DEREK CUNNINGHAM, O.D., F.A.A.O., AUSTIN, TEXAS
If ocular allergy is not a major part of your practice, you may need to take a closer look. Up to 40% of the population, the highest reported to date, have experienced ocular symptoms at least once in their lifetime.1 This is almost 125 million potential patients.
In addition, more than 41 million bottles of over-the-counter (OTC) and 4 million bottles of prescription anti-allergy ophthalmics are consumed yearly.2 This shows that patients are much more likely to self-medicate before seeking medical attention, and that the ocular allergy market is 10 times bigger than what we are treating. Many potential patients may have been sitting in your exam chair within the last year.
The traceable ocular allergy pharmaceutical market is worth $671 million, according to an IMS, Vector One: National database report YTD through October 2012. General medicine accounts for roughly 40% of the total, whereas optometry accounts for about $150 million. Isolating eye care, ophthalmology prescriptions account for 53% of scripts vs. 47% for optometrists. This is a wider gap than it seems considering there are less than half as many ophthalmologists as optometrists.
But how do we reach and treat these potential allergy patients?
Find allergy patients.
The following tips will help you find allergy patients:
► Simply ask. The easiest way to find allergy patients is to simply ask all patients whether their eyes ever itch or bother them. This should be top of mind during your local allergy season but should not be forgotten outside this window. Verbally asking patients provides more direct association with you as a solution source. The questions often open up dialogue on many other symptoms that can enable you to diagnose a patient.
Keep in mind that, although many patients with allergic rhinitis also have conjunctivitis, the ones without ocular itch may still require your services. A recent study shows that after four days of once-daily use, systemic loratadine (Claritin, Schering Corporation) was associated with a 33.7% reduction in tear volume, a 35.0% reduction in tear flow and a 21.7% increase in global fluorescein staining.3 Asking about and looking for ocular dryness in any patient using oral antihistamines will help you to discover more treatable pathology to help your patients.
► Focus on CL patients. Because CLs create a frictional base for increased inflammation and act as sponges for allergens, CL wearers are also prime allergy candidates. CL wear can cause or aggravate ocular allergies.
► Market the niche. To market your ocular allergy care, post articles or tips on your practice website. You can also download allergy forecast widgets that can be placed on your website (www.pollen.com). These are free and allow your patients to check a four-day allergy forecast by going to your website.
During allergy season, having ample amounts of allergy literature and take-home pamphlets can also make significant impressions on patients. There are disease state awareness materials available from the American Optometric Association, as well as product-specific literature available from your local drug reps.
| CL Patients: Potential LASIK Candidates |
|---|
A major driving force behind LASIK today is contact lens intolerance. In reviewing patients’ candidacy for LASIK at our surgery center, significant amounts of untreated blepharitis, dry eye or ocular allergy can be found. These diseases are often the instigating cause for the CL intolerance that drives patients into LASIK centers. |
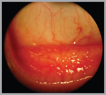
One way to find patients, such as the one pictured above who has seasonal allergic conjunctivitis with visible chemosis, is to simply ask if their eyes ever itch or bother them.
Provide effective management.
The three ways to provide effective ocular allergy management:
► Educate patients. Patients often use trial-and-error techniques, ultimately settling for the partial resolution of symptoms. To change this mindset, inform patients that they may only experience partial or little relief with OTC products. Next, tell them that you are able to treat many medical eye conditions, such as allergy, with prescription medications specifically tailored to their needs. Explain to patients that this is not always straightforward, and they may require off-label dosing or multiple therapies.
While patients may initially see a financial incentive to self-medicating, the education you provide will help them to learn that self-medicating can become problematic.
► Use a slit lamp. Be sure to perform a thorough slit lamp exam, as it is not possible to diagnose confounding pathologies, such as dry eye, blepharitis and conjunctival chalasis, without one.
► Understand the CL patient. The best way to speed up allergy treatment is complete cessation of CL wear, but that is not always possible. The traditional theory of switching lens material and/or solutions for CL intolerance is not effective in these cases and can erode patient confidence in you when it does not help.
The key here is to take away the symptoms as fast as possible while keeping the patient in their lenses. If not dealt with quickly, contact lens intolerance can develop in patients associating any discomfort with the lenses, as opposed to the disease making them more likely to discontinue wear.
This can be turned into a plus if the patient is a LASIK candidate and you comanage LASIK surgery, but otherwise this leads to lost contact lens revenue from your practice (See “CL Patients: Potential LASIK Candidates,” page 18). If patients with a history of ocular allergy insist on wearing contact lenses, recommend daily wear lenses to lower the risk of complications.
Increasing patient flow
Whether the patient enters your office for vision correction or medical treatment, follow-up care is essential for the treatment of allergy. Booking a follow-up exam allows you to evaluate treatment efficacy, modify the treatment if needed and encourage compliance.
By aggressively treating the most prevalent disease in your office, you will condition your patients to think of you as a medical resource. The consumer numbers show us that we are only treating a fraction of the public need. Through patient and public awareness, we will be able to provide a needed public health service and increase our patient flow. OM
1. Singh K, Axelrod S, Bielory L. The epidemiology of ocular and nasal allergy in the United States, 1988-1994. J Allergy Clin Immunol. 2010 Oct;126(4): 778-783.e6.
2. Slonim CB, Boone R. The ocular allergic response: A pharmacotherapeutic review. Formulary. 2004 Apr;39(4):213-22.
3. Ousler GW 3rd, Workman DA, Torkildsen GL. An open-label, investigator-masked, crossover study of the ocular drying effects of two antihistamines, topical epinastine and systemic loratadine, in adult volunteers with seasonal allergic conjunctivitis. Clin Ther. 2007 Apr; 29(4):611-6.
|
Dr. Cunningham is the director of optometry and research at Dell Laser Consultants in Austin, Texas. His research involves retinal drug treatments, allergy medications, glaucoma surgery techniques, ocular surface disease and refractive surgery. E-mail him at dcunningham@dellvision.com, or send comments to optometricmanagement@gmail.com. |


