CLINICAL
THE POSTERIOR
BEAT BRVO
THE O.D.’S ROLE IN MANAGING THIS COMMON RETINAL DISEASE
BRANCH RETINAL vein occlusion (BRVO) can lead to significant vision loss and, in some cases, indicate serious underlying systemic diseases, such as cardiovascular, diabetes and carotid artery disease. Therefore, early detection and treatment is essential.
Here, I discuss the risk factors, clinical findings and latest information on the management and treatment of this condition.
EPIDEMIOLOGY
Retinal vascular occlusion (RVO) is the second most common retinal disease, after diabetic retinopathy, seen in clinical practice. There are distinct clinical variants, depending on the location of the vein occlusion. BRVO is the most prevalent variant, occurring four to six times more than its counterparts, central retinal vein occlusion (CRVO) or hemi-retinal vein occlusion (HRVO), according to Ophthalmology.
The occlusion typically occurs at arteriovenous (AV) crossings, where the arteries and veins share a common adventitial sheath. Although the process is not clearly understood, it is thought to occur due to a combination of factors known as Virchow’s triad, which includes compression of the veins by arteries, degenerative changes within venous walls and thrombosis. Up to two-thirds of BRVOs occur in the superior-temporal quadrant due to an increased number of AV crossings in this quadrant. On the other hand, patients with nasal occlusions are often asymptomatic, with clinical findings observed during a routine eye examination. An indicator of an impending occlusion is the Bonnet’s sign — a hemorrhage at an AV crossing, requiring close monitoring (six-week follow-up).
Published in Ophthalmology, Hayreh classified BRVO into two types:
(1) Major BRVO, when one of the major branch retinal veins is occluded.
(2) Macular BRVO, when one of the macular venules is occluded.
Major BRVO is further sub-classified into non-ischemic or ischemic. The ischemic type, five disc areas or more capillary non-perfusion, further leads to neovascularization and other complications previously mentioned.
Risk factors
Common risk factors include:
• Age (40 and older)
• Hypertension
• Atherosclerosis
• Diabetes
• Carotid Artery disease
• Cardiovascular disease
• Inflammatory or Rheumatological disease
• Obesity (increased body mass index)
• Smoking (present or history of smoking)
• Hematological disorders
◦ Thrombophilic conditions (i.e., hyperhomocysteinemia, protein C and S deficiency, lupus anticoagulant, anticardiolipin antibodies)
◦ Hypercoagulable/Hyperviscosity syndrome, especially in younger patients with BRVO)
• Glaucoma/Ocular hypertension
• Medications (oral contraceptives, hormone medications)
A comprehensive medical evaluation should be performed in patients with the aforementioned conditions, especially in atypical cases, such as BRVOs occurring in patients younger than 40, bilateral BRVOs, or a BRVO occurring at a site not associated with an arteriovenous crossing.
SYMPTOMS
Clinically, BRVO patients may be asymptomatic or experience a mild to moderate reduction in vision. The most common cause of vision loss is the presence of macular edema. Additional causes include the presence of macular nonperfusion, retinal neovascularization, vitreous or intraretinal hemorrhages, tractional retinal detachment or a combination of these disorders. O.D.s should be aware that these symptoms tend to occur more frequently in the morning, according to Ophthalmology.
Patients with macular BRVO or macula edema may report central/paracentral scotoma, metamorphopsia or central field defects, whereas major BRVO presents with a peripheral visual field defect corresponding to the retinal quadrant that is affected. The clinical picture of BRVO includes the following findings.
A 46-year-old male was found to have a BRVO OD during a comprehensive exam. He had no medical history, and in-office blood pressure (BP) was 212/118. BCVA was 20/30 OD with macula edema observed on OCT testing. Management included urgent referral for medical testing and BP treatment. He was also scheduled for a one-month follow-up.
CLINICAL SIGNS
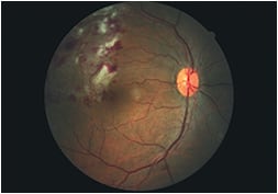
Acute BRVOs:
• Dilated tortuous veins
• Microaneurysm
• Flame hemorrhages
• Dot and blot hemorrhages
• Cotton wool spots
• Hard exudates
• Retinal edema
• Cystoid macular edema
Chronic/Late Complication BRVOs:
• Ischemic maculopathy
• Collateral vessels
• Vascular sheathing
• Neovascularization
◦ Disc
◦ Retina
• Retinal detachment
• Vitreous hemorrhage
DIAGNOSTIC CONSIDERATIONS
The three diagnostic considerations:
• Amsler grid and visual field test. These tests are essential in identifying the clinical symptoms of BRVO. Macular changes that result in the aforementioned symptoms, like metamorphopsia and central scotoma, are easily detected with an Amsler grid. Additionally, self-monitoring is important in patients with BRVO maculopathy. Automated perimetry may be as important as visual acuity testing because visual fields defects are a component of vision loss in BRVO patients. Macular microperimetry also allows for specific testing of retinal function and may be considered.
• Fluorescein angiography. Fluorescein is particularly useful in determining the area and extent of ischemia as well as macular edema.
• The presence of collateral vessels. During a routine examination, this is a key indicator of a prior BRVO. Collateral vessels develop between retinal capillaries in an attempt to restore blood flow from an obstructed area to an unaffected area of the retina. O.D.s should always investigate the underlying systemic cause of this anomalous vessel formation to potentially prevent a BRVO from recurring or occurring in the fellow eye.
Collaterals do not leak like new blood vessels and should not be treated by photocoagulation, which may lead to further retinal compromise.
MANAGEMENT
About 50% of BRVO and macular edema cases spontaneously resolve within a year. Nonetheless, practitioners should check blood pressure, and refer BRVO patients to a healthcare provider for medical and laboratory testing, especially those with atypical BRVO cases.
Recommended standard testing:
• Gonioscopy should be considered to rule out neovascular glaucoma (NVG), particularly in cases of ischemic BRVOs. Though NVG is not as common following BRVO, as compared to its counterpart, rare cases have occurred says Ophthalmology.
• Retinal photos are essential in documenting, monitoring, managing, but most importantly, educating BRVO patients about their condition.
• Optical coherence tomography (OCT) is an excellent tool to determine the extent and severity of macular edema and ischemia.
• A comprehensive medical evaluation, including blood pressure, cholesterol/lipid, fasting plasma glucose and carotid artery evaluation is recommended for BRVO patients. This is particularly important if collateral vessels are observed. Patients should be closely monitored, as a reported 10% may develop an occlusion in the other eye within three years, according to the American Journal of Ophthalmology.
The O.D. can manage patients the first three months post-occlusion, says the Branch Vein Occlusion Study, for spontaneous regression of the edema and hemorrhage. However, if the patient’s vision is worse than 20/40 or macular edema or ischemic BRVO persists, refer to and comanage with a retinal specialist, who can perform grid laser photocoagulation, prescribe anti-VEGF and IVTA drugs or a vitrectomy.
BRANCHING OUT
Preserving and improving vision is vital in BRVO cases. Therefore, O.D.s play a significant role in its prompt diagnosis and timely treatment. It is also important for O.D.s to be aware of underlying systemic causes and comanage with their healthcare provider. OM
| SHERROL A. REYNOLDS, O.D., F.A.A.O., is an associate professor at the Nova Southeastern University College of Optometry and clinical preceptor/attending in the college’s diabetes and macular clinic. She is a fellow of the Optometric Retina Society and chairperson for the Florida Optometric Association Healthy Eyes Healthy People Committee. Comment at tinyurl.com/OMcomment. |


