CLINICAL
ANTERIOR
A SORE SUBJECT
ERADICATE INFECTIOUS CORNEAL ULCERS
ABOUT A year ago, a 15-year-old female contact lens wearer presented for an emergency consult for a corneal ulcer OD. She complained of extreme pain, decreased vision, photophobia and redness, all of which she said started, “a few days ago and got worse.” Upon questioning, the patient denied sleeping in and wearing her contact lenses past the prescribed time.
Exam revealed the corneal ulcer was greater than 4mm and had a focal white stromal opacity with a large epithelial defect that stained with fluorescein. In addition, I noted severe conjunctival injection and anterior chamber inflammation with a lot of cell and flare. The ulcer, which I suspected was infectious due to the aforementioned signs and symptoms, was thinning, placing this patient in great danger for corneal perforation.
Here, I discuss the etiology, symptoms, clinical signs, management options, as well as the ICD-10 codes associated with the most common infectious corneal ulcers and what happened with this patient.
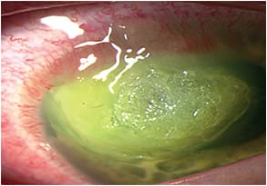
Note the irregular epithelium, epithelial erosions, large corneal infiltrate and corneal edema in this Acanthamoeba corneal ulcer.
ETIOLOGY
Infectious corneal ulcers occur from water exposure to contact lenses, eye trauma (poking one’s eye with a twig, for example), overuse of topical steroids and the biggest culprit — non-compliance to one’s contact lens wear and care regimen.
The most common forms of infectious corneal ulcers are Pseudomonas aeruginosa, Staphylococcus aureus, Acanthamoeba and Fusarium.
Infectious corneal ulcers do not discriminate in terms of sex and age of onset.
SYMPTOMS
• Significant pain
• Decreased vision
• Photophobia
CLINICAL SIGNS
All infectious corneal ulcers share clinical signs, often making a definitive diagnosis a challenge.
• P. aeruginosa. This presents with a soupy corneal appearance, grayish/white focal infiltrate or stromal opacity with an epithelial defect that stains with fluorescein. Also seen is corneal edema, hypopyon, anterior chamber cell/flare, lid edema and conjunctival injection.
• S. aureus. This typically presents with localized, round or oval gray white lesions that have clear margins and distinct borders with minimal surrounding epithelial edema and stromal infiltrates. These patients can also present with anterior cell and flare, corneal edema, conjunctival injection, and hypopyon.
• Acanthamoeba. The clinical signs here don’t match the symptoms, as the eye has a relatively normal appearance. Upon examination, however, conjunctival injection, unilateral red eye, irregular epithelium, punctate epithelial erosions, limbal injection, microcystic edema, dendritiform epithelial lesions and ring infiltrates (in the late stage — 4 weeks to 8 weeks) is typical.
• Fusarium. This presents with limbal injection, epiphora, purulent discharge, corneal infiltrates with a feathery appearance/borders, grayish-white satellite lesions, a raised epithelial defect, anterior chamber reaction and hypopyon.
MANAGEMENT OPTIONS
After obtaining the case history and exam results, you may need to acquire a corneal culture or scrape to make a definitive diagnosis, as, again, all infectious ulcers share clinical signs, making identifying the culprit difficult.
| Corneal ulcer, unspecified | H16.00 |
| Central corneal ulcer | H16.01 |
| Ring corneal ulcer | H16.02 |
| Hypopyon corneal ulcer | H16.03 |
| Marginal corneal ulcer | H16.04 |
| Perforated corneal ulcer | H16.07 |
With Acanthamoeba, in particular, a culture via corneal scraping is often slow to grow, making confocal microscopy a valuable diagnostic tool.
While awaiting culture results, prescribe a broad-spectrum antibiotic, as this will cover the patient against any possible cause.
Once culture results return, alter treatment based on the cause.
• P. aeruginosa. Prescribe broad-spectrum antibiotic drops q.i.d., antibiotic ointment q.h.s., cycloplege for pain, and obtain daily slit lamp photos to document the ulcer’s size. Once signs and symptoms improve, prescribe a topical steroid and a topical fourth generation fluoroquinolone q.i.d., and decrease the frequency through several weeks, as clinical improvement continues. If you are unable to obtain a culture or the ulcer is non-responsive to treatment, refer the patient to a corneal specialist.
• S. aureus. Prescribe a broad-spectrum antibiotic drop q.i.d., antibiotic ointment q.h.s., cycloplege for pain, and prescribe a topical fourth generation fluoroquinolone Q 1-2 hours until clinical improvement. Further, acquire daily slit lamp images to document the ulcer’s size. Refer the patient to a corneal specialist if the ulcer is nonresponsive, >2mm or centrally located.
• Acanthamoeba. Perform debridement to decrease the bacterial load. Next, prescribe polyhexamethylene biguanide 0.02% to be used q1H, Diamide: Brolene 0.1% (both are not commonly available), Neomycin, and consider an adjunctive oral azole antifungal. These patients may require a PKP when the scarring on the cornea can be significant and often won’t allow good vision or the cornea perforates. Refer to a corneal specialist when you have a central ulcer, a non-responding ulcer or an ulcer that’s >2 mm in size.
• Fusarium. Prescribe a polyene antimicrobial or a triazole antifungal medication (Candida) Q 1 hour for 1 week; then Q2, and decrease based on clinical improvement. Also, prescribe a cycloplegic for pain. These patients may require PKP because these ulcers often leave visually significant scars, and the cornea may not be able to be saved.
THAT PATIENT
The patient’s large corneal ulcer ultimately perforated right before a corneal specialist was about to evaluate her. She underwent an emergency PKP and is doing very well. Culture results revealed S. aureus, believed to have come from her school gym locker. Although the patient said she stored her contact lenses in a contact lens case, she took them in and out at her locker without washing her hands before doing so, which is believed to have contributed to her infection.
This case illustrates the importance of a discussion about proper contact lens hygiene — especially for first-time wearers. OM
| JOSH JOHNSTON, O.D., F.A.A.O., practices at Georgia Eye Partners. He focuses on ocular surface disease and has extensive experience in comanaging cataract and refractive surgery patients. Email him at drj@gaeyepartners.com, or visit tiny url.com/OMcomment to comment. |


