CO-MANAGE THESE PATIENTS CONFIDENTLY BY REVIEWING YOUR ROLE IN THEIR CARE
AS O.D.s are often the gateway to surgery, we must educate ourselves and the patient on procedures the surgeon may choose and what the patient can expect with each. We also must make wise referrals and consider referring to subspecialty ophthalmology, even for cataract surgery, when confronted with comorbid disease.
This comes to play when considering a referral to a glaucoma specialist for combined MIGS (minimally invasive glaucoma surgery) at the time of cataract surgery. Likewise, referral to a corneal specialist should be considered in patients with comorbid cataracts and Fuchs’ corneal dystrophy (FCD).
Here, I provide an overview of FCD, review our role in the medical treatment and surgical referral of FCD and the considerations for cataract surgery referral for patients who have comorbid cataracts and FCD.
| Fuchs’ corneal dystrophy | H18.51 |
| Unspecified corneal edema | H18.20 |
OVERVIEW OF FCD
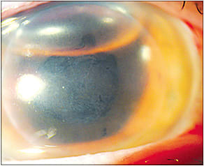
FCD is central guttae and corneal edema that can eventually lead to painful epithelial bullae, scarring and neovascularization. Early on in disease progression, patients with central guttae may be asymptomatic, or may only experience mild glare or halos. As the disease progresses, patients typically complain of blurry vision that is worse in the morning and improves throughout the day.
O.D.’S ROLE
In mild cases of FCD, we can manage symptoms by prescribing hypertonic ointment and solution (sodium chloride eye drops). In more advanced cases that have painful bullae, we can prescribe conservative topical NSAIDs and bandage contact lenses to manage pain until bullae resolve. However, as FCD progresses and vision is compromised, some form of corneal transplant and, thus, a referral may be required.
Historically, the only surgical option for FCD was PK. Although PK still has a role in FCD surgical care, it is often avoided except in cases of FCD with reduced BCVA secondary to central corneal opacity. As we know, PK is also known for highly unpredictable refractive outcomes, including large amounts of irregular corneal astigmatism that require RGP or scleral contact lenses for the best possible vision after surgery.
Fortunately, we can now consider referring symptomatic FCD patients to a cornea specialist earlier in the disease course due to the widespread adoption of Descemet stripping automated endothelial keratoplasty (DSAEK) and Descemet’s membrane endothelial keratoplasty (DMEK).
To review, DSAEK surgery includes a graft consisting of donor endothelium, Descemet’s membrane and posterior stroma, inserted into the host anterior chamber through a 5mm incision and temporarily held in place by an air or gas bubble until it adheres to host stroma. DSAEK allows surgeons to offer surgical intervention at an earlier disease state than PK due to faster and more predictable visual outcome, lower failure rate and overall greater patient satisfaction when compared to PK.
DMEK grafts include only donor endothelium and Descemet’s membrane, which is inserted into the anterior chamber through a 3mm or smaller corneal incision and held in place by an air or gas bubble until adhered to the host cornea. Studies show that DMEK has even more predictable visual outcomes, lower rejection rates and quicker recovery times than DSAEK. Also, DMEK requires less frequent dosing and a shorter course of topical steroids to reduce the risk of rejection compared to both DSAEK and PK, according to the Asia-Pacific Journal of Ophthalmology. However, utilizing thinner donor tissue makes transitioning to DMEK challenging, so many surgeons have chosen not to adopt DMEK due to successful visual outcomes and high patient satisfaction after DSAEK.
COMORBID FCD AND CATARACT SURGERY CONSIDERATIONS
When confronted with a patient who has FCD and comorbid cataract, we can guide our referral choice by considering the level of severity of each condition, the patient’s visual and refractive goals, anterior chamber depth and his or her overall health and ability to undergo multiple surgeries.
Here’s a look at specific patients:
• Patients with early cataracts and FCD symptoms that are no longer effectively managed with topical treatment. These patients may be best served by DSAEK or DMEK alone, as their cataract may not be contributing significantly to their symptoms at this stage. However, patients older than age 50 who have mild cataracts should be counseled that DSAEK/DMEK alone is associated with more rapid cataract progression.
Additionally, if your slit lamp exam of these patients reveals a shallow anterior chamber, you may consider counselling the patient that the surgeon may need to proceed with cataract extraction first to deepen the anterior chamber to allow easier graft positioning in DSAEK or DMEK.
• Patients who have visually significant cataracts and mildly symptomatic FCD. Consider a referral for cataract surgery alone. However, patients should be counseled that they will likely be dependent on glasses or contact lenses after cataract surgery, as corneal edema may alter axial length and keratometry readings for IOL calculations.
Since FCD is a relative contraindication for LASIK, according to the Journal of Cataract & Refractive Surgery, these patients should also be counseled that if the refractive target of cataract surgery is not met, their only option may be PRK.
FCD Treatments in the Pipeline
Studies are underway to investigate descemetorhexis without graft placement, in which central endothelium is removed and regenerated by healthy peripheral endothelium, or by injected cultured human endothelial cells. Additionally, rho kinase (ROCK) inhibitors continue to be studied as topical drops and as additive therapy in cases of injected cultured human endothelial cells.
Because of this, most patients with symptomatic FCD should avoid presbyopia-correcting IOLs due to the near perfect refractive outcomes needed with them. Even when the refractive target is met, diffractive multifocal IOLs may exacerbate the halos, glare and contrast sensitivity reduction already present in FCD and, thus, should be avoided.
These patients should also be counseled on the likelihood of endothelial cell loss and subsequent increase in corneal edema and visual fluctuation after cataract surgery. We can refer these patients to a surgeon who utilizes femtosecond laser-assisted cataract surgery, as it reduces endothelial cell loss associated with traditional phaco-cataract surgery, according to the Journal of Ophthalmology.
• Patients who have FCD and cataracts that are largely contributing to their symptoms. We should refer these patients for staged DSAEK/DMEK before or after cataract surgery, or “triple” surgery, in which the surgeon performs DSAEK/DMEK, cataract extraction and IOL implantation in one combined surgery. The order in which the surgeon performs these procedures is based on the patient’s refractive goals and expectations, anterior chamber depth, health and the surgeon’s comfort level with each procedure.
As referring O.D.s often have the unique advantage, vs. surgeons, of knowing their patients’ visual needs and goals through the course of many years, it is in our patients’ best interest to relay this knowledge to surgeons. This information may be especially helpful in the case of a, “high-maintenance” refractive surgery patient, in which DSAEK or DMEK prior to planned cataract surgery will likely offer the most predictable refractive outcome. Although both DSAEK and DMEK provide more predictable outcomes than PK, outcomes still vary from an expected mild hyperopic shift, due to reduced corneal edema, to occasional astigmatic or myopic changes, according to Der Ophthalmologe. Treating corneal edema with DSAEK or DMEK prior to cataract surgery may allow for more reliable axial length and keratometry readings and a more predictable refractive outcome after cataract surgery.
• Patients who have comorbid FCD and cataracts and desire avoiding multiple surgeries due to health concerns or financial reasons. These patients may be best served by a “triple” surgery. “Triple” surgeries did not significantly increase the risk of endothelial cell loss or graft failure compared to staged surgeries, according to the Asia-Pacific Journal of Ophthalmology. However, “triple” surgery may not offer as predictable refractive outcomes as staged DSAEK/DMEK prior to cataract surgery, so patients should be counseled to expect glasses or contact lenses after surgery.
THE O.D.’S IMPORTANCE
Ultimately, the decision regarding combined or solo corneal transplant and cataract surgery is up to the surgeon. However, our understanding of current surgical options for FCD, in terms of what is involved with each procedure, patient candidacy and expectations, can pave the way for more appropriate referrals aligned with our patients’ visual goals. Staying abreast of the latest surgical procedures will allay patient fears, solidify our role as the primary eye care provider and ensure their return to our capable care. OM


