Let’s be vigilant against over- and undertreatment
A recent commercial for a cell-phone provider depicts customers in various comedic and somewhat awkward, yet familiar, situations. At the end of the commercial, and regardless of their unique scenarios, five words flash across the screen in sync with the narrator’s voice: “Just OK is not OK.” (See bit.ly/2lLwans .)
Although this simple slogan is about cell phone coverage, it got me thinking that it can apply to our clinical coverage for glaucoma. Specifically, as we care for patients who have glaucoma, we should be ever vigilant against both over- and undertreatment, both of which are not OK and may lead to either unnecessary costs/side effects or irreversible vision loss, respectively. Consider these two clinical “commercials:”
1. MINIMIZING OVERTREATMENT
A 69-year-old white male with IOPs consistently between 24 mmHg and 26 mmHg, thick pachymetry readings of 630 μm OU, a vertical CD ratio of 0.5 OU with healthy rim appearance and reliable, normal VF testing returned for an IOP check and repeat OCT retinal nerve fiber layer testing (see Figure 1: OCT).
Fortunately, this patient fits into the demographics from the Ocular Hypertension Treatment Study (OHTS), so we can apply the associated validated risk calculator (ohts.wustl.edu/risk/ ) and discover he has about a 10% risk of developing glaucoma in the next five years without treatment.
With this evidence-based and personalized approach, we can discuss with the patient the very reasonable option to just monitor him closely without treatment at this time and, therefore, minimize overtreatment.
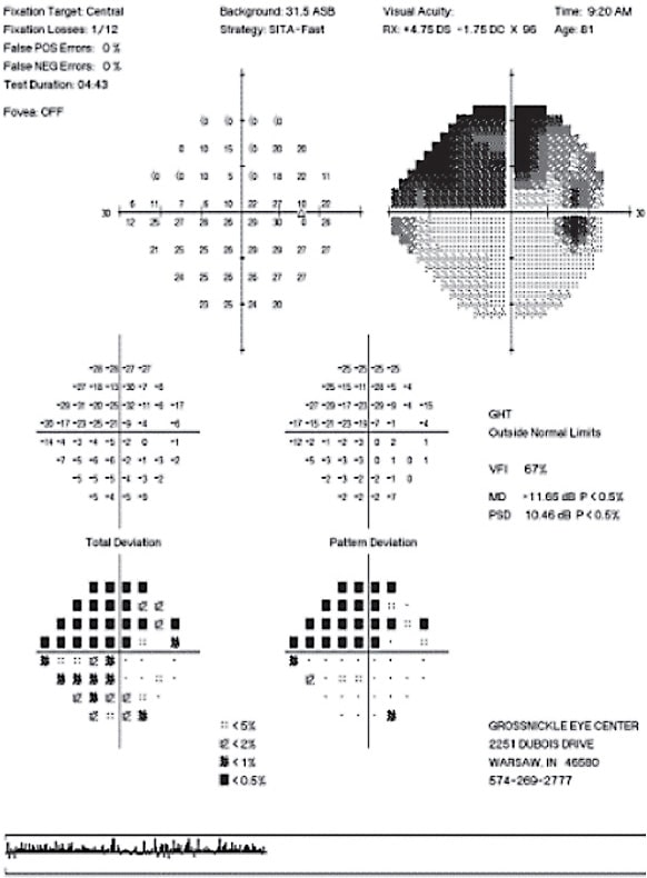
2. PREVENTING UNDERTREATMENT
An 81-year-old white male with treated IOPs of 18 mmHg OU, thin pachymetry readings of 525 μm OU and near complete inferior neuroretinal rim thinning OD>OS returned for an IOP check and repeat VF testing, the latter of which showed a reliable, progressive and dense superior nasal/central defect OD (see Figure 2: Visual Field). This additional testing strongly shows that the IOP with the current treatment is not OK and that rapid, aggressive treatment is necessary to slow further progression.
WHAT IS BETTER THAN OK?
Additional, reliable testing provides further information that leads to increased certainty. Increased certainty, if acted on appropriately, minimizes overtreatment and prevents undertreatment. On the other hand, under-testing (example: too few VF tests, etc.) limits clinical certainty and is more likely to lead to undertreatment. As we proactively test and treat (when indicated), our glaucoma patients will have the clinical coverage they each deserve, and that’s more than OK! OM
(See “Table Guide” in the online version of this article at optometricmanagement.com .)


