Slit lamp shows contact lenses staved off symptoms
“Case Scenario,” illustrates how a specific device’s image aided in patient management.
PATIENT
A 37-year-old white female; chief complaint: foreign body sensation OU when not wearing contact lenses (CLs).
EXAM FINDINGS
Entering distance vision: OD 20/400: -3.00-0.50 x100, 20/20; OS 20/400: -2.50-0.25 x115; 20/20 with CLs: OD -3.25 and OS -2.50. No sleeping in CLs.
APPROACH
Marco Ultra M2 slit lamp with iPhone 6
DIAGNOSIS
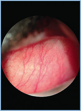
Mucin balls on superior tarsal conjunctiva; clear spheres, each <0.50mm, about 10 scattered diffusely OD and OS; and mild superior corneal punctate keratitis. CLs were a barrier, preventing symptoms.
MANAGEMENT
Compounded 10% n-acetylcysteine (NAC) ophthalmic drops.
PATIENT CARE TIP
Face wash exfoliating beads and hormonal changes could be the culprit, but in this case, the cause is a mystery.
CODING
T15.11XA, T15.12XA, T15.11XD, T15.12XD OM
CASE STUDY
Note the only remaining mucin ball at a follow-up exam after starting treatment.
SUBMIT YOUR CASE STUDIES AT bit.ly/CASESCENARIO We want to hear how a specific technology aided in the specific management of a patient.


