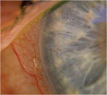
Can you identify the glaucoma surgery?
A 74-year-old male presented to our clinic as a new patient. He had a history of “combined cataract and glaucoma surgery” OU in 2019. With the images of his eyes shown in this column, what type of glaucoma surgery did he have?
Let’s solve this mystery.
REASON FOR THE MICROSCOPIC IMPLANT
In an effort to minimize the ever-present and variable adherence factor among glaucoma patients1 and, therefore, maximize vision and disease stability, there is an expanding space within glaucoma care that provides opportunistic, minimally invasive glaucoma surgeries (MIGS) using various procedures and devices. Importantly, these options have relatively2-4*:
- Less tissue destruction.
- A high safety profile.
- A short surgical time.
- Simple instrumentation.
- Rapid recovery.
HOW DO MIGS WORK?
These procedures work by either bypassing the trabecular meshwork’s outflow resistance1,5 (the main point of resistance to aqueous outflow3) or directing outflow into the suprachoroidal and/or subconjunctival spaces3,4,6** with an end goal of decreased IOP levels and, ideally, less dependence on medications.
Interestingly, and regarding these pathway procedures and devices, Gillmann et al proposes a lofty “10-10-10 Goal,”6 meaning that these MIGS procedures/devices should ideally take “…< 10 minutes to perform, be able to consistently achieve IOPs < 10 mm Hg, and be efficient for > 10 years, without any significant complications.”6
Mostly when combined with planned cataract surgery (although some are now stand-alone procedures), MIGS options are effective among ocular hypertensive and open-angle glaucoma patients,4 as well as in patients who have normal tension glaucoma.7
Furthermore, these options may even have an additive effect when different procedures/devices, with different mechanisms of action, are combined vs. a single MIGS procedure7 at the time of cataract surgery.
Looking ahead, perhaps there will be a time when we recommend clear lensectomies combined with MIGS as another option to more successfully reduce the overall long-term medication dependence often associated with glaucoma management, and further reduce diurnal IOP peaks to slow glaucomatous progression.8
SOLVED!
Regardless of the type and timing of these MIGS procedures and devices, we should know how they appear post-operatively, as they will certainly “…increase in the future in areas of the world where individuals will live to an advanced age”9 and “…provide adherence-independent reduction of IOP.”9 OM
REFERENCES
- Fingeret M, Dickerson JE Jr. The Role of Minimally Invasive Glaucoma Surgery Devices in the Management of Glaucoma. Optom Vis Sci. 2018;95(2):155-162. doi: 10.1097/OPX.0000000000001173.
- Manasses DT, Au L. The New Era of Glaucoma Micro-stent Surgery. Ophthalmol Ther. 2016;5(2):135-146. doi: 10.1007/s40123-016-0054-6.
- Dick HB, Schultz T, Gerste RD. Miniaturization in Glaucoma Monitoring and Treatment: A Review of New Technologies That Require a Minimal Surgical Approach. Ophthalmol Ther. 2019;8(1):19-30. doi: 10.1007/s40123-019-0161-2.
- Lavia C, Dallorto L, Maule M, Ceccarelli M, Fea AM. Minimally-invasive glaucoma surgeries (MIGS) for open-angle glaucoma: A systematic review and meta-analysis. PLoS One. 2017;12(8):e0183142. doi: 10.1371/journal.pone.0183142. (*Comprehensive, balanced, and informative review of various MIGS procedures and devices)
- Bar-David L, Blumenthal EZ. Evolution of Glaucoma Surgery in the Last 25 Years. Rambam Maimonides Med J. 2018;9(3):e0024. doi: 10.5041/RMMJ.10345.
- Gillmann K, Mansouri K. Minimally Invasive Glaucoma Surgery: Where Is the Evidence? Asia Pac J Ophthalmol (Phila). 2020;9(3): 203-214. doi: 10.1097/APO.0000000000000294. (**Excellent summary diagram within article.)
- Chang EK, Gupta S, Chachanidze M, et al. Safety and efficacy of microinvasive glaucoma surgery with cataract extraction in patients with normal-tension glaucoma. Sci Rep. 2021;11(1):8910. doi: 10.1038/s41598-021-88358-6.
- Laroche D, Scheive M. How to Stop People from Going Blind from Glaucoma Using Early Cataract Surgery/Refractive Lensectomy and Microinvasive Glaucoma Surgery. Clin Ophthalmol. 2022;16:815-821. doi: 10.2147/OPTH.S354338.
- Sugihara K, Fukuda H, Omura T, Tanito M. Reasons for choice of glaucoma surgery in eyes not treated with anti-glaucoma medications. BMC Ophthalmol. 2022;22(1):145. doi: 10.1186/s12886-022-02369-z.


