This article was originally published in a sponsored newsletter.
A study published in 2022 found that an estimated 19.83 million individuals 40 years and older in the United States have some form of age-related macular degeneration (AMD).1 Despite its prevalence, AMD is not always a clear-cut diagnosis.2 Several other conditions may present with a phenotype that mimics AMD.3 Here is such a case.
A new patient, a 50-year-old Caucasian male, presented for a retinal evaluation with visual acuities of 20/50 and 20/80 in the right and left eye, respectively. Over the past year, his vision had decreased significantly, despite being monitored for macular drusen. The patient’s prior medical record reported the presence of bilateral drusen at age 40. At the time, he complained of difficulty differentiating between red and green, clearer vision peripherally vs. centrally and an extended adjustment period when moving from bright to dark environments. A diagnosis of dry AMD was established at that time.
When evaluating cases such as this, there are a few key factors to consider, including the age of onset, severity and description of the presentation, laterality, visual function and genetic markers. The extent of the maculopathy combined with the patient’s relatively young age suggested macular dystrophy as a more plausible etiology than true AMD.2 Given this patient’s history and clinical presentation, Best disease and Adult-onset Foveomacular Vitelliform Dystrophy (AOFVD) were high on the list of our differential diagnoses (see Figure 1).
Best disease predominantly follows an inheritance pattern of autosomal dominance, with a mutation in the BEST1 gene.4 This dystrophy presents early in life (usually between ages 3 and 15) and progressively worsens through five stages, eventually leading to severe vision loss. The diagnosis is based on age of onset, clinical presentation, family history and diminished electrooculography (EOG) results.4,5 Genetic testing may serve as confirmation.5
AOFVD has an uncertain inheritance pattern. Some studies suggest autosomal dominance, but a significant number of cases appear to show no family inheritance. Those that are considered inheritance-linked can have a mutation in the PRPH2 gene,6 which is crucial for photoreceptor function.5 AOFVD is frequently categorized as a pattern dystrophy of the retinal pigment epithelium (RPE).
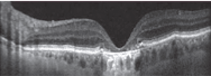
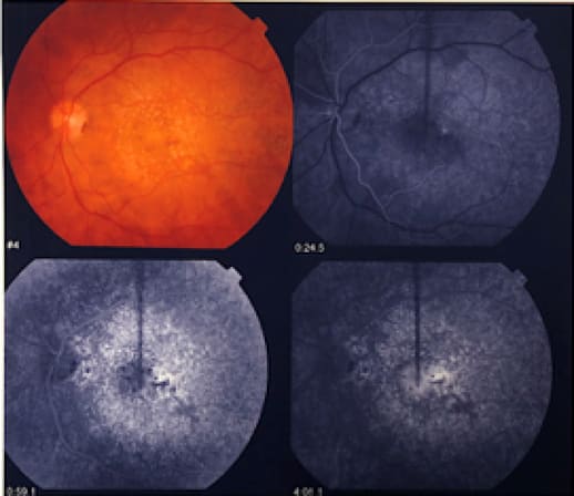
We performed additional advanced testing to establish a definitive diagnosis. Genetic testing via buccal swab revealed two gene abnormalities; however, there are currently no known links to retinal abnormalities. Fluorescein angiography (FA) revealed no leakage OU (see Figure 2), and OCT confirmed the presence of a fluffy vitelliform lesion in the maculae.
These vitelliform lesions in AOFVD result from a buildup of lipofuscin, the product of undigested photoreceptor outer segments. The lesions may gradually enlarge, and then decrease in size, resulting in an atrophic RPE and visible disruption in the IS/OS interface (see Figures 3a and 3b).7 Photoreceptors are susceptible to photo-oxidative damage, while phagocytosis by the RPE prevents toxic accumulation of damaged material in a healthy retina.8
Vitelliform lesions appear as fluffy, dome-shaped material on OCT,9 and may display hyperfluorescence on FA.10 At this time, there are no specific treatments for AOFVD.11 While patients are encouraged to take similar precautions as with AMD (nutrition, smoking cessation), correct diagnosis is crucial to offer proper counsel and additional resources to promote a high quality of life.2
This case provided me with a wonderful learning opportunity. AMD has several masqueraders, and clinicians must use detective-like skills to establish a correct diagnosis. In such cases, reverting to the basics of functional anatomy and knowledge of disease classification/pathogenesis can offer a compass to better guide us toward more atypical diagnoses (see Figure 4).
Reference(s):
- Chowers I, Tiosano L, Audo I, Grunin M, Boon CJF. Adult-onset foveomacular vitelliform dystrophy: a fresh perspective. Prog Retin Eye Res. 2015 Jul;47:64-85. doi:10.1016/j.preteyeres.2015.02.001
- Saksens NTM, Fleckenstein M, Schmitz-Valckenberg S, et al. Macular dystrophies mimicking age-related macular degeneration. Prog Retin Eye Res. 2014 Mar;39:23-57. doi:10.1016/j.preteyeres.2013.11.001
- Paez-Escamilla M, Jhingan M, Gallagher DS, Singh SR, Fraser-Bell S, Chhablani J. Age-related macular degeneration masqueraders: from the obvious to the obscure. Surv Ophthalmol. 2021 Mar-Apr;66(2):153-182. doi:10.1016/j.survophthal.2020.08.005
- Tripathy K, Salini B. Best Disease. In: StatPearls. Treasure Island (FL): StatPearls Publishing; August 25, 2023.
- Blodi CF, Stone EM. Best's vitelliform dystrophy. Ophthalmic Paediatr Genet. 1990 Mar;11(1):49-59.
- Coco RM, Tellería JJ, Sanabria MR, Rodríguez-Rúa E, García MT. PRPH2 (Peripherin/RDS) mutations associated with different macular dystrophies in a Spanish population: a new mutation. Eur J Ophthalmol. 2010 Jul-Aug;20(4):724-732. doi:10.1177/112067211002000413
- Querques G, Forte R, Querques L, Massamba N, Souied EH. Natural course of adult-onset foveomacular vitelliform dystrophy: a spectral-domain optical coherence tomography analysis. Am J Ophthalmol. 2011 Aug;152(2):304-313. doi:10.1016/j.ajo.2011.01.047
- Kennedy CJ, Rakoczy PE, Constable IJ. Lipofuscin of the retinal pigment epithelium: a review. Eye (Lond). 1995;9 (Pt 6):763-771. doi:10.1038/eye.1995.192
- American Academy of Ophthalmology. Adult-onset foveomacular vitelliform dystrophy. September 13, 2018. Accessed October 31, 2024. https://www.aao.org/image/adult-onset-foveomacular-vitelliform-dystrophy-2
- Benhamou N, Souied EH, Zolf R, Coscas F, Coscas G, Soubrane G. Adult-onset foveomacular vitelliform dystrophy: a study by optical coherence tomography. Am J Ophthalmol. 2003 Mar;135(3):362-367. doi:10.1016/s0002-9394(02)01946-3
- Carnevali A, Al-Dolat W, Sacconi R, et al. Diagnosis, management and future treatment options for adult-onset foveomacular vitelliform dystrophy. Exp Rev Ophthalmol. 2018 June;13(3):161-69. doi:10.1080/17469899.2018.1483722
- Thomas CJ, Mirza RG, Gill MK. Age-related macular degeneration. Med Clin North Am. 2021 May;105(3):473-491. doi:10.1016/j.mcna.2021.01.003


