During, “Punt It or Confront It: A Guide to Identify Lesions of the Choroid,” Robert Yacoub, OD, FAAO, discussed distinguishing between benign and malignant choroidal lesions. The lecture occurred yesterday at 11 a.m.
“There are certain sight-threatening ocular diseases that we, as optometrists, just cannot miss. A choroidal melanoma would certainly fit that bill,” he said of his lecture. “[I hope] my fellow optometrists will be able to differentiate between benign choroidal lesions, such as a choroidal nevus, from malignant choroidal lesions, such as a choroidal melanoma.”
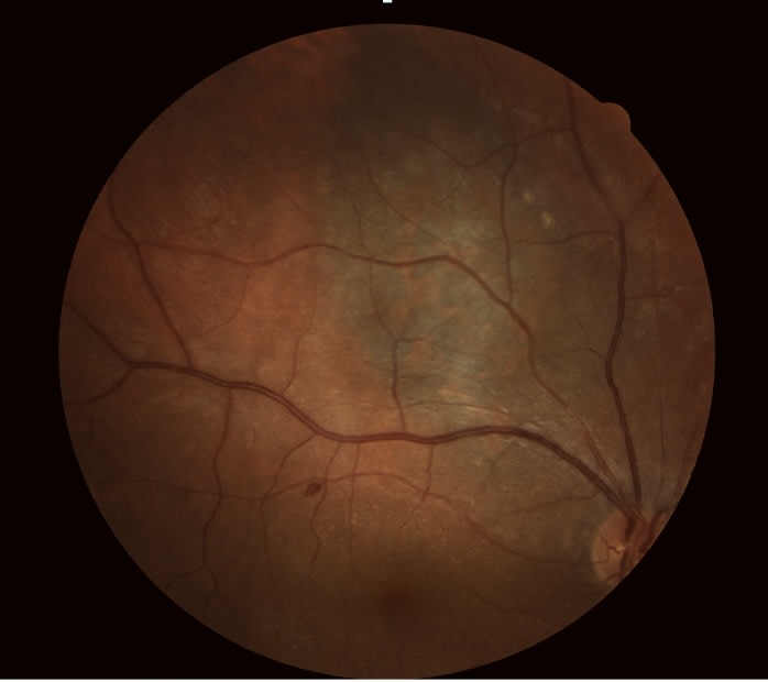
The nine red flags of a choroidal melanoma:
1. Thickness
If the thickness of the choroid is greater than 2.0 mm, it’s more likely a choroidal melanoma. The average choroidal melanoma is 5.5 mm thick, Dr. Yacoub explained.
2. Subretinal fluid
The presence of subretinal fluid is more likely to be seen in a choroidal melanoma. What’s more, it is a major risk factor for metastasis, pointed out Dr. Yacoub.
3. Visual symptoms
Blurred vision (visual acuity typically 20/50 or worse), loss of vision, scotomas, progressive visual field loss, flashes, floaters, and eye pain are more indicative of a choroidal melanoma, Dr. Yacoub asserted.
4. Lipofuscin accumulation
Lipofuscin accumulation in the retina pigment epithelium (RPE) is more likely to be associated with a choroidal melanoma because tumors tend to be more metabolically active, Dr. Yacoub pointed out.
5. Optic disc margin proximity
A choroidal lesion in contact with the optic disc margin or within 3 mm of the optic disc margin is indicative of a choroidal melanoma.
6. Large basal diameter
A choroidal lesion with a basal diameter greater than 5 mm is more likely to be a choroidal melanoma. Keep in mind that the average basal diameter of a choroidal nevus is 1.25 mm.
7. Growth in less than two years
A choroidal lesion that increases in size in less than two years is indicative of a choroidal melanoma.
8. Solid mass/acoustic hollow internal area
A choroidal lesion that appears as a solid mass with an acoustic hollow internal area that is hypoechoic to low hyperechoic is likely a choroidal melanoma. OM
Advice for Academy attendees
“Although you may be busy going to the many wonderful lectures at Academy, make sure you find some time to reconnect with colleagues, friends, and classmates that you may not have seen for a long time,” Dr. Yacoub urged.


