 
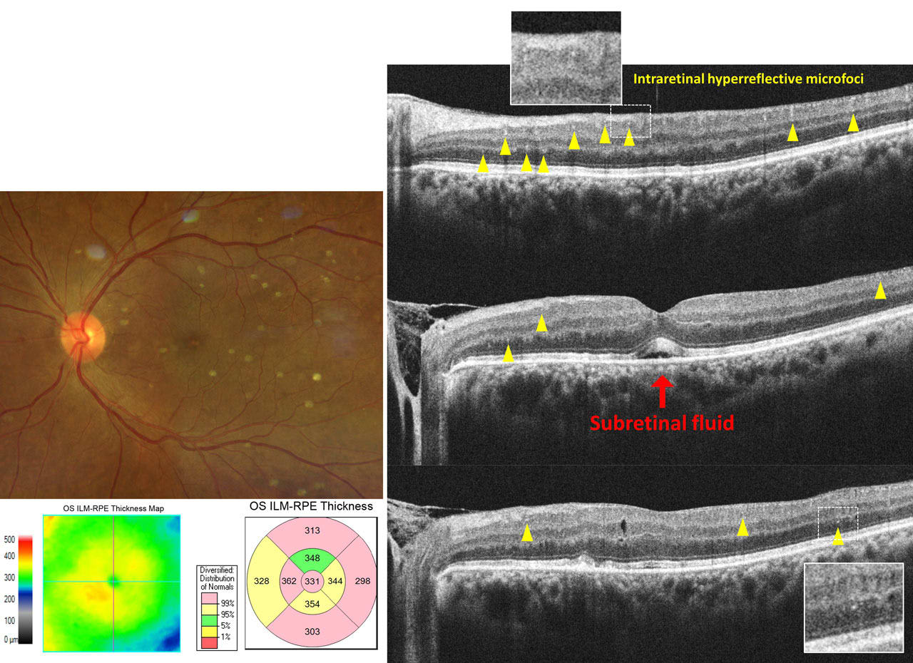
    PRACTICE TIP: How to recognize clinical inflammatory features of diabetic retinopathy
When using OCT to identify inflammation in patients who have diabetic retinopathy (DR), look for bright dots of less than or equal to 30 µm to 50 µm in diameter. These are intraretinal hyperreflective microfoci, and studies have correlated their presence with the severity of DR, write Drs. Carolyn Majcher and Hayley Trenz in “Combatting inflammation in diabetic retinopathy.” Another clinical sign of inflammation is subretinal fluid, which typically has greater concentrations of vitreous inflammatory cytokines than normal. Read their full article here.
RESEARCH NOTES:
- Opthea Limited announced it has completed enrollment in the Combination OPT-302 with Aflibercept Study (COAST) and Study of OPT-302 in combination with Ranibizumab (ShORe) trials. Both Phase 3 trials combine sozinibercept with standard-of-care anti-VEGF-A therapy to assess the efficacy and safety of intravitreal 2.0 mg sozinibercept in combination with 2.0 mg aflibercept (COAST), or 0.5 mg ranibizumab (ShORe). The primary endpoint for both trials is the mean change in BCVA from baseline to week 52. Both trials are also evaluating the safety and tolerability over a 2-year period.
- Sight Sciences announced publication of a new analysis of the Retrospective, Observational, Multicenter Evaluation of OMNI (ROMEO), from Clinical Ophthalmology; the study evaluates the association between the severity of glaucoma and IOP and medication outcomes for patients treated with the OMNI Surgical System. The findings suggest that ab interno canaloplasty coupled with trabeculotomy using OMNI was as effective at lowering IOP and reducing medication usage in advanced glaucoma patients as it was in mild and moderate glaucoma patients. Read the study in full on PubMed.
 
    Academy 2024 launches registration
American Academy of Optometry’s annual meeting is now open for registration. Taking place in Indianapolis Nov. 6 to 9, the event will feature more than 300 hours of CE, an expansive exhibit hall, scientific papers and posters on the latest research, and more. Register for the event here.
Books & Benchmarks publishes 2023 report
Books & Benchmarks, an eye care bookkeeping and financial analytics company, has released the “2023 Optometry Benchmarks Report.” The report, available to download here, offers an overview of the latest optometry performance metrics and industry standards.
CooperCompanies releases environmental, social, and governance report card
CooperCompanies released its 2023 Environmental, Social, and Governance Report, showcasing progress on enhancing the health and wellness of people around the world. Highlights from the report include a score of 100 on the Human Right Campaign’s 2023 Corporate Equality Index; named to the Top 20 Global Inspiring Workplaces and the Top 10 North American Inspiring Workplaces; and 50% board gender diversity. Read the full report here.
Hilco Vision Care Solutions announces new national account director
Hilco Vision Care Solutions, which comprises Bruder Healthcare, M&S Technologies, and Hilco Vision Ophthalmic brands, announced Brian Stafford as National Account Director. Mr. Stafford’s previous leadership roles in ophthalmology sales includes positions at companies such as Harrow Health, RVL Pharma, Allergan, Sun Ophthalmics, and TearLab.
TFOS 10th annual meeting is accepting registration and abstracts
The 10th International Tear Film & Ocular Surface (TFOS) Conference has launched registration. The meeting, taking place Oct. 30 to Nov. 2 in Venice, Italy, has a theme of Basic Science and Clinical Relevance. Registration can be found here. Additionally, the TFOS Board of Directors welcomes the submission of abstracts through Aug. 2. To submit an abstract, follow this link.
 
    Zeiss announces enhancements for CIRRUS 6000 
Zeiss announced the CIRRUS 6000 is now supported by the largest optical coherence tomography (OCT) reference database in the United States market. This database, a library of 870 healthy eyes, more than triples the previous version, and allows the CIRRUS 6000 to take into account more differences in optic disc sizes and age. The CIRRUS 6000 also enhancements to its cybersecurity features, including advanced data security and password security.
 
  
            

