photography
Digital
Slit Lamp Photography on a Shoestring Budget
An economical approach
to enhancing patient care and a practice's cash flow.
JUSTIN
HOLT, O.D., Ogden, Utah
I suspect that most optometrists in practice currently do not incorporate digital photography into their exams. Digital cameras are perceived to be very expensive and therefore cost prohibitive. True anterior segment cameras can cost over $15,000 and fitting a camera to an existing slit lamp can cost over $5,000. Additionally, the practitioner might not be fully aware of how, when, or why to bill for this truly valuable procedure.
|
|
|
|
|
|
|
|
|
|
|
|
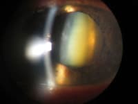
| From top to bottom: 1. The "macro" setting is used without the slit lamp to document the correct placement of an Optech aniridia IOL (photo courtesy of Scott Sykes, M.D.) 2. A corneal erosion is easily seen here and documented to monitor healing, as well as for patient education. 3. The progression of corneal neovascularization can be closely followed. 4. A brunescent cataract is photographed with an optic section. 5 This post-LASIK SPK is well documented through the slip lamp with a cobalt filter. |
Trial and error
In optometry school I tried to take slit lamp photos with my digital camera without success. I had given up on anterior segment photography that was, until I did some research and subsequent trial and error on my own.
I returned to anterior segment photography following some of the techniques that others had found successful. After trying several cameras, I purchased the Cannon PowerShot SD300 Elph. Its resolution is 4.0 megapixels and with a 512 MB Secure Digital (SD) card, it will hold 255 images at "best" quality. The camera itself is not much bigger than a cassette tape. At a cost of just over $350 with the additional memory card, the camera paid for itself after eight photos. Regardless of the camera you choose, an important feature is the "macro" mode. This is the camera's ability to focus at very close distances. My camera has a macro focus at as close as 3 cm, perfect for both slit lamp photos and external close photos of the eye and periocular structures.
The proper settings
Several of the settings need to be adjusted for optimal slit lamp photography. Depending on your specific camera, these may differ slightly. The camera needs to be set to "center focus." This is often done by simply changing from the auto to the manual mode. The focus seems to be better if a transilluminator is used to illuminate the eye in addition to the slit beam. Be sure to switch the flash off, this will often give you far too much light. Switch the camera to the "macro" mode. With my camera, this is indicated by a small flower shape on the top of the display screen.
I consistently take better photos when I turn the "ISO speed" to 400. This allows for higher quality images in dim illumination and minimizes blur from an unsteady patient or camera. It is also important to keep your printer in mind. If you plan to print photos, despite camera quality, your photo will only be as good as your printer. At our practice we use an Epson photo ink jet. It has card ports for every kind of memory card, so no special connectors are needed and the quality is exceptional.
Once the settings are correctly adjusted, use a slit lamp to focus the area of interest just as during an exam. Instruct the patient to fixate on a point and try not to move. Lock the slitlamp into position. I tend to take better-focused photographs when I set a transilluminator on the slit lamp table. It lights the area of interest in addition to the slit lamp beam. The camera is then brought up to the ocular. Either the right or the left one will work fine. Once up to the ocular, the camera lens needs to be roughly one inch from the ocular in order to maintain an optimal field of view. A finger works well, both as a stabilizer and a spacer. It can be difficult to feel comfortable doing this at first, but with practice, it becomes much easier. I take several photos in order to secure two or three good photos for printing in their chart.
Coding and billing
When you bill, the reimbursement will differ slightly for each insurance carrier. The Medicare approved fee for 99285 is roughly $43.50. Keep in mind that this is a unilateral procedure. If you are going to document a condition in each eye you will need to use modifier 50. Also keep in mind that in order to bill for this, you must generate an interpretation and report separate from the original chart note. Ethical coding does play an important role in anterior segment photography.
The indications for this type of procedure are very specific to track the progression or lack of progression in an ocular condition, or to track the progression of a particular course of treatment. While many conditions can be photographed, photo-documentation should not be used to simply document the presence of an ocular finding. (A table listing the appropriate diagnoses to photograph can be found on the "Web Exclusive section" of optometricmanagement.com.)
Practice Benefits
If a provider sees only four cases each week that called for photo documentation, it would create over $9,000 in positive cash flow each year not to mention the additional patient care and education provided. With photographs, you are able to show patients exactly what their eyes looks like. By not just using a generic model eye, you increase the patient's understanding of what you see and the proposed plan of action.
Photography also helps to market your practice. Patients can take copies of the photos to show to friends and family. You can include copies in letters back to referring physicians. These can all lead to more patient referrals and increased patient retention.
The bottom line
Photography has allowed us to augment the patient's medical records by not simply relying on drawings to follow ocular conditions. Patients have expressed the value of really seeing what we are referring to when we explain to them their corneal ulcer, neovascularization, cataract, or what ever the case may be. In addition to this patient benefit, you can increase the care you give and create additional cash flow.
Dr. Holt is in group practice at the Mount Ogden Eye Center and Bountiful Hills Eye Center. He completed a residency at the University of Utah Moran Eye Center and Veterans Hospital. He can be reached at jchod5150@yahoo.com.


