ocular surface disease
Rid The Lid of Blepharitis
Create patient loyalty and referrals by identifying and treating lid disease.
KATHERINE MASTROTA, O.D., M.S., F.A.A.O., New York
Imagine living day-to-day with constant crusting of your eyelids and eyelashes, burning, itching and foreign-body sensation of your eyes and a decrease in your quality of vision and contrast sensitivity.
Now, imagine presenting to an eyecare practitioner who makes a diagnosis and provides you with symptomatic relief that simultaneously addresses the underlying cause. You'd be thrilled! In fact, you'd not only likely stay with that practitioner for all your eyecare needs, but also refer your family and friends to him or her for their ocular needs.
If you want to be this practitioner, it's essential you familiarize or re-acquaint yourself with blepharitis and how to diagnose and treat it.
Blepharitis overview
Blepharitis is generally divided into two forms: meibomian gland dysfunction (MGD), or posterior blepharitis, and anterior blepharitis. One form of blepharitis is rarely independent from the other. Generally, they are co-morbities that interact and play upon each other to perpetuate the overall lid disease state. Along with dry eye, this causes an imbalance in tear composition, compromising ocular surface health.
In fact, the reduced lubricity of a thinned or mucin-deficient tear is unable to buffer the ocular surface from the shear forces of the blink. This causes abnormal sloughing of the epithelial cells as well as ocular surface irritation and inflammation. Further, in a tear-challenged state, the protective properties of the tear film, such as its antimicrobial properties, become altered, allowing for ocular surface infection and irritation. Visual compromise can result from corneal scarring and opacification in aggressive disease. Also, a poor tear film lacks the factors necessary for the nutrition, wound healing and growth support of the non-vascular cornea.
Meibum, the lipid produced by the meibomian glands (holocrine sebaceous glands), constitutes the tear film's outer layer. This lipid primarily functions to retard evaporation of the underlying complex aqueous-mucin gel.1-3 In MGD, meibum is altered or decreased. Normal meibum appears as a clear, yellow free-flowing liquid oil. However, intrinsic chemical changes or external action of bacterial lipases may oxidize the meibum or create free fatty acids. This change in lipid profile lowers the solubility characteristics and the lipid melting point, resulting in solidification, possible plug formation and problems with congestion or obstruction of the gland.
Chronic inflammation from meibum stasis and keratinization of the meibomian gland ducts and orifices can ultimately lead to loss of gland clusters and atrophic, non-functional glands. Approximately 30 to 40 meibomian glands are situated in the upper eyelid and slightly fewer in the lower eyelid. Recent research has revealed that only six to eight glands produce lipid at one time, and that number of glands producing expressible lipid in the lower eyelid is correlated with dry eye symptoms.4
MGD may occur as a primary disorder or secondary to acne rosacea, seborrheic or atopic dermatitis and with cicatrizing disorders, such as trachoma, erythema multiform and cicatricial pemphigoid.5-8 Also, the condition is associated with Floppy Eyelid Syndrome (flaccid eyelids accompanied by chronic papillary conjunctivitis and occasionally keratoconus).9
Anterior blepharitis can occur from overpopulation of bacteria, which release exotoxins, or from an overpopulation of Demodex (a ubiquitous mite [acari]). Bacterial exotoxins and Demodex cause inflammation, irritation and hyperkeratinization of the lid margin, which contributes to obstruction of the meibomian gland orifices. The Demodex mite has also been implicated as a cause for dermatologic rosacea.
Clinicians have isolated Demodex mites from both the eyelash follicle (Demodex folliculorum) and the meibomian glands (Demodex brevis), implicating it as an instigator of both anterior and posterior (MGD) lid disease. In the case of anterior disease, irritation from the mite claws, its excreta and remains upon death cause chronic inflammation and edema of the lash follicle. Staphylococcal or seborrheic-driven inflammation most commonly causes anterior blepharitis (see figure 1). (Atopic disease, such as dermatitis, seasonal allergy or asthma, can also induce hyperkeratinization of the lid margin.)
    Figure 1: One of the characteristics of anterior blepharitis is scaling along the eyelash base.
In angular blepharitis (a form of anterior blepharitis), bacterial overpopulation causes excoriation of the skin at the canthal area (see figure 2). Similarly, bacterial exotoxins released into the tear film can precipitate a sensitivity reaction manifested as marginal corneal infiltrates or, when compounded with contact lens wear, contact lens acute red eye or contact lens peripheral infiltrate or ulcer.
    Figure 2: In angular blepharitis, bacterial overpopulation causes excoriation of the skin at the canthal area.
Diagnosis
To check for MGD, evaluate the lid margin via slit lamp beyond the eyelash line. Moving posteriorly from the lash line, look for eyelid margin landmarks, which include the grey line (Riolan's Muscle — the most anterior portion of the orbicularis oculi), the meibomian gland orifices and the mucocutaneous junction (Marx's Line).
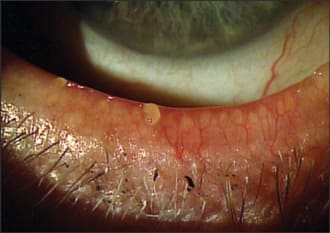
Normal meibomian gland orifices are situated at regular intervals. In MGD, the normal small capillary loops under the lid epithelium and the superficial vessels derived from the conjunctiva are engorged, and fine telangiectatic vessels develop across the lid margin, especially in ocular rosacea. (Ocular rosacea may exist alone but often accompanies other subtypes of rosacea, such as erythematotelangiectatic, papulopustular, phymatous and neuropathic.) In MGD, the gland orifices can become positioned irregularly secondary to gland atrophy or traction; alternately, they can becomes stenosed, plugged or capped (see figure 3).
    Figure 3: Capped meibomian gland orifices, lid margin rounding and telangiectatic vessels on the lid margin are characteristic of lid disease.
Check the gland orifices (surrounded by small translucent cuffs) for patency vs. stenosis. Further, gently express the glands to assess the quality and quantity of lipid the gland is producing (or not). Gland excreta in MGD can be copious and turbid (meibomian gland seborrhea) or granular, scant and paste-like, suggesting gland obstruction. Focal drop out or atrophy of the meibomian glands leads to lid margin edge changes, which include dimpling, rounding and change in contour. Trichiasis may develop with ongoing distortion of the normal lid architecture. Further, patients with posterior blepharitis are predisposed to chalazia formation.
The Marx's line, a line of squamous cells, extends along the entire length of the upper and lower lid margin and over the puncta, parallel to the lid margin. Marx's line stains clearly with lissamine green. In cases of MGD and chronic tear film instability, the Marx's line can become scalloped and irregular.
If the patient primarily has anterior blepharitis, you'll notice redness, scaling or flaking, debris (i.e. solidified oils, etc.), crusting and ulceration along the eyelash base. Also, you may observe abnormal eyelash growth (i.e. reduced number, irregular placement, misdirection, changed color and non-scarring madarosis).
Of note: Eyelashes in a Demodex-infested follicle are usually brittle, thin and easily epilated. Eyeliner tattooing and the placement of eyelash extensions (individual hairs or clusters of hairs cyanoacrylate-bonded to one's own lashes) may also contribute to both forms of blepharitis, based on my personal clinical observation.
Treatment
You can treat blepharitis with a variety of methods and treatment strategies interchangeably or in combination. Lid disease is dynamic in nature and impacted by a myriad of factors, such as age, environment, medications (i.e. isotretinoin, etc.) and overall patient health, dictating flexibility in therapy.10
Often, treatment begins with lid hygiene, which is comprised of warm compresses, followed by gentle lid cleaning/mechanical lid massage.
A warm compress works to both melt the thick wax in the meibum and loosen any debris on the eyelid margin and eyelashes. Patients can use a variety of homemade warm compresses (i.e., a microwave-heated sock full of uncooked rice, a boiled egg wrapped in a washcloth, etc.) or commercially available eyelid warming devices to accomplish this.
I typically have patients place the compress on their closed lid for three to four minutes, once a day. The duration of use is relative to the severity of the blepharitis.
Gentle lid scrubbing washes away irritating bacterial toxins, reduces bacterial colonization of the lids, improves eyelash follicle health and stimulates meibum egress. This safeguards the ocular surface from the aforementioned deleterious effects of lid disease. I recommend patients use a commercially prepared eyelid-cleaning product to cleanse their lids, as these products are free of unnecessary fragrances and colorings, which may cause an allergic reaction in sensitive individuals. Currently available by prescription are combination kits that include doxycycline (see below), lid cleaning foams or solutions and lid warming devices. I have patients clean their lids once a day. I warn patients that overzealous scrubbing can exacerbate lid inflammation, create micro-abrasions in the dermis and strip the skin of its natural protective oils (sebum), making it susceptible to bacterial infiltration. The duration of lid scrubs depends on the severity of the blepharitis.
Mechanical lid massage, or the repeated gentle pressure by the index finger across the closed upper and lower lid, enables the expression of the now liquefied wax from the meibomian gland ducts, dampening the glands' inflammatory response, while increasing tear break-up time. Patients draw their index finger across the length of the eyelids 10 to 15 times in one sitting after they have cleaned the lid margins. Again, the duration of use is relative to the severity of the blepharitis. (As a brief aside, several practitioners practice therapeutic serial meibomian gland expression in their offices.)
Other treatments:
► Over-the-counter tears. Various studies have demonstrated the correlation between MGD and evaporative dry eye.11,12,13 Hydrating the ocular surface in aqueous deficient dry eye via tear supplementation tempers the inflammatory mediators that can impact the function of the meibomian gland. Additionally, lipid-containing tear supplements, in particular, help to bolster the meibum-deficient tear film, especially in advanced cases of meibomian gland atrophy.
► Omega-3 fatty acid supplementation. Supplementing omega-3 fatty acids (coldpressed, pharmaceutical grade) encourages the production of anti-inflammatory prostaglandins and modifies the composition of meibomian lipids, and, as a bonus, are of cardiovascular benefit (i.e. they decrease triglycerides, blood pressure and blood clotting.)14,15 I generally prescribe one to two grams daily and will discontinue/reduce supplementation should the patient experience adverse effects, such as stomach upset. Also, patients who bruise easily, have a bleeding disorder or take blood-thinning medications should use Omega-3 fatty acids with caution, as Omega-3 fatty acids exert a dose-related effect on bleeding time. Although, no documented cases of abnormal bleeding as a result of fish oil supplementation exist, even at high dosages and in combination with other anticoagulant medications, it's better to err on the side of safety.
► Topical steroids. These are effective in breaking the inflammatory cycle in patients who have significant lid disease. I typically prescribe an ester-based steroid every four hours for 10 to 14 days. Ester-based steroids have a significantly lower propensity to raise intraocular pressure or cause cataract formation than ketone steroids and are ideal in these cases.16,17
► Cyclosporine (Restasis, Allergan). The off-label use of this drug has proven useful as an immunomodulator in MGD, but more importantly as a method to increase aqueous production in patients who have aqueous-deficient dry eye disease.18 MGD may cause or exacerbate dry eye or vice-versa.
► Topical antibiotics. I prescribe short-term (i.e. seven to 10 days) topical antibiotic therapy in cases of infectious blepharoconjunctivitis four times a day as a general rule. If the patient has significant lid inflammation, I consider prescribing an antibiotic-steroid combination drop.
In patients who may have less inflammation of the ocular/lid surface, but obviously abnormal lipid secretion, topical azithromycin (AzaSite, Inspire) may be effective in modifying the course of the disease. Recent research has demonstrated that high concentrations of topically administered azithromycin is achieved within the eye tissues and is effective in reducing inflammation and modifying lipid production.19,20 I typically have patients apply this topical antibiotic once a day between 14 to 28 days (off-label application).
► Oral tetracyclines. These antibiotics work well in cases of MGD and are ideal for patients who have ocular rosacea/dermatologic rosacea.
Because the meibomian glands are located inside the lid, most topical drugs don't penetrate the tissue as well as oral tetracyclines do. The body delivers oral medication via blood vessels to the desired site — in this case, the skin. Oral tetracyclines have non-specific anti-inflammatory properties that inhibit keratinization and suppress bacterial lipases, which break down the meibum into irritating-free fatty acids.
Because tetracyclines are associated with gastrointestinal upset, photosensitivity, headache, fever, pale or yellowed skin, and nausea, among other adverse effects, consider prescribing low-dose formulations. Most practitioners agree that patients tend to tolerate these better.
Refrain from prescribing these drugs to patients who have a known sensitivity to tetracyclines and those who are pregnant or who could become pregnant, as the medication poses a risk of permanent tooth discoloration in its user and a reduction in bone growth of the fetus.21
By the time undiagnosed blepharitis patients present to an eyecare practitioner, many are desperate for relief of their symptoms. As a result, they become extremely loyal to and boastful of the eyecare practitioner who can immediately diagnose the problem and provide them with relief that simultaneously addresses the underlying disease process. OM
1. Goto E, Endo K, Suzuki A, et al. Tear evaporation dynamics in normal subjects and subjects with obstructive meibomian gland dysfunction. Invest Ophthalmol Vis Sci. 2003 Feb;44(2):533–39.
2. Gilbard JP. Dry eye, blepharitis and chronic eye irritation: divide and conquer. J Ophthalmic Nurs Technol. 1999 May-Jun;18(3):109–15.
3. Gilbard JP, Rossi SR, Heyda GK. Tear film and ocular surface changes after closure of the meibomian gland orifices in the rabbit. Ophthalmology. 1989 Aug;96(8):1180–6.
4. Korb DR, Blackie CA. Meibomian gland diagnostic expressibility: correlation with dry eye symptoms and gland location. Cornea. 2008 Dec;27(10):1142-7.
5. Huber-Spitzy V, Baumgartner I, Bohler-Sommeregger K, Grabner G. Blepharitis — a diagnostic and therapeutic challenge. A report on 407 consecutive cases. Graefes Arch Clin Exp Ophthalmol. 1991;229(3):224-27
6. McCulley JP, Dougherty JM, Deneau DG. Classification of chronic blepharitis. Ophthalmology 1982 Oct;89(10):1173-80.
7. Modino BJ, Brown SI. Ocular cicatricial pemphigoid. Opthalmology. 1981 Feb;88(2):95-100.
8. Foster CS. Cicatricial pemphigoid. Trans Am Acad Ophthalmol Soc. 1986;84:527-663.
9. Mastrota KM. Impact of floppy eyelid syndrome in ocular surface and dry eye disease. Optom Vis Sci 2008 Sep;85(9):814-16.
10. Mathers WD, Shields WJ, Sachdey MS, et al. Meibomian gland morphology and tear osmolarity: changes with accutane therapy. Cornea. 1991 Jul;10(4):286-90.
11. Bron AJ, Tiffany JM. The contribution of meibomian disease to dry eye. Ocul Surf. 2004 Apr;2(2):149-65.
12. McCulley JP, Shine WE. Meibomian gland dysfunction and the tear lipid layer. Ocul Surf. 2003 Jul;1(3):97-106.
13. Wang Y, Zhang WH, Pan ZQ. Clinical investigation of chronic blepharitis and evaporative loss dry eye. Zhonghua Yan Ke Za Zhi. 2006 Feb;42(2):162-5.
14. Lahners W, Palsy D, Jones DC. Treatment of posterior blepharitis with essential fatty acids. ARVO Abstracts. Invest Ophthal Vis Sci 1999;40:S541
15. Marian S. Macsai MD. The role of omega-3 dietary supplementation in blepharitis and meibomian gland dysfunction. Trans Am Ophthalmol Soc. 2008;106:336-356.
16. Novack GD, Howes J, Crockett RS, Sherwood MB. Change in intraocular pressure during long-term use of loteprednol etabonate. J Glaucoma. 1998 Aug;7(4):2766-9.
17. Pavesio CE, Decory HH. Treatment of ocular inflammatory conditions with loteprednol etabonate. Br J Ophthalmol. 2008 Apr;92(4):455-9.
18. Perry HD, Doshi-Carnevale S, Donnenfeld ED, et al. Efficacy of commercially available topical cyclosporine A 0.05% in the treatment of meibomian gland dysfunction. Cornea. 2006 Feb;25(2):171-5.
19. Torkildsen G, O'Brien TP. Conjunctival tissue pharmacokinetic properties of topical azithromycin 1% and moxifloxacin 0.5% ophthalmic solutions: a single-dose, randomized, open-label, active-controlled trial in healthy adult volunteers. Clin Ther. 2008 Nov; 30(11):2005-14.
20. Luchs, J. Efficacy of topical azithromycin ophthalmic solution 1% in the treatment of posterior blepharitis. Adv Ther. 2008; Sep;25(9):858-70.
21. Berman B, Perez OA, Zell D. Update on rosacea and anti-inflammatory-dose doxycycline. Drugs Today (barc). 2007 Jan;43(1):27-34.
     
     | 
Dr. Mastrota is Center director at the New York Office of Omni Eye Services and secretary of the newly formed Ocular Surface Society of Optometry (OSSO). E-mail her at katherinemastrota@msn.com. | 
  
            

