glaucoma
Glaucoma: Assessing Patients For Progression
Early detection of advancing disease is vital for determining when to modify treatment.
DEEPAK GUPTA, O.D., F.A.A.O., Stamford, Conn.
Glaucoma is a progressive disease that is likely to worsen through time, even when effective therapy is used. Early detection of advancing disease is vital for determining when to modify a patient's regimen. This article will review diagnostic approaches to improve detection and management of glaucoma progression.
A case of progression
Let's begin by considering the following case study:
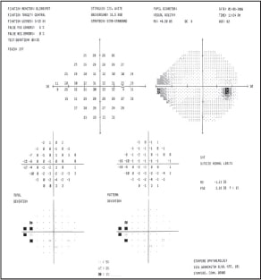
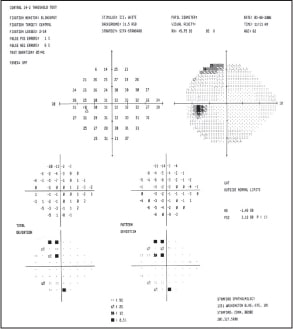
DP is a 65-year-old Caucasian female who first came to my office four years ago for a routine eye examination. Her medical history was unremarkable. Family history was positive for glaucoma. At the initial exam, corneal thickness was 540 μm in each eye, and intraocular pressure (IOP) was 19mm Hg to 20 mm Hg. Dilated fundus examination revealed increased cup-to-disc ratio. Based on these findings, the patient was diagnosed as a glaucoma suspect. Baseline evaluation with scanning laser polarimetry demonstrated poor modulation in the right eye and poor symmetry (see figure 1). Findings were 95 and 50 in the right and left eye, respectively. Visual field (VF) testing revealed arcuate defects in both eyes. Repeat VF testing confirmed the defects (see figures 2 and 3), at which point DP's diagnosis was changed from glaucoma suspect to primary open-angle glaucoma (POAG). The highest IOP measurement had been 22 mm Hg in each eye, so 16 mm Hg was chosen as the therapeutic target. DP was started on a prostaglandin OU daily before bedtime, and responded very well to therapy.

Figure 1. Scanning laser polarimetry of the patient demonstrates a decreased nerve fiber layer.

Figure 2. Visual field right eye.

Figure 3. Visual field left eye.
DP has been an excellent patient in terms of both medication compliance and return visits. She has been monitored every three months and until recently her IOP remained at or below target. During her two most recent assessments, however, DP demonstrated a slight progression in VF defect (see figure 4), which was verified with repeat examination. As a result, a carbonic anhydrase inhibitor was added to her regimen as adjunctive therapy, and she is considering selective laser trabeculoplasty (SLT).

Figure 4. OCT of the patient in the case study.
DP is a typical case in that if a patient is followed long enough, glaucoma will ultimately progress. Although today's options to manage glaucoma are superior to those available 20 years ago, many patients' condition will worsen, regardless of initial treatment modality. This is not a failure to respond to treatment; it is normal progression of a disease.
Risk factors
The major risk factors for glaucoma progression are:
1. IOP level
This is one of the most significant risk factors for development and progression of glaucoma, and one of the few modifiable risk factors. It is also one of the few short-term markers to determine if a particular therapy is successful.
2. IOP fluctuation
Diurnal variation in IOP is observed even in normal eyes, but the greater the fluctuation, the greater the risk for developing glaucoma and for disease progression.
3. Central corneal thickness (CCT)
Patients with thin corneas are at greater risk for developing glaucoma. Glaucoma, in these patients, is usually more difficult to control.
4. Disc hemorrhages
These are found in the retinal nerve fiber layer and typically are caused by infarction of the blood supply to the optic nerve head (ONH). Disc hemorrhages are considered signs of retinal ischemia and are highly correlated with normal-tension glaucoma. The presence of disc hemorrhages may indicate poor IOP control and suggest a need to reconsider existing therapy.
5. Poor medication compliance
This is one of the most common reasons for glaucomatous progression. Nearly 50% of patients show non-continuous use of their prescribed medication(s) by six months after start of therapy. Noncompliance should be considered in any patient whose disease progresses despite IOP that is well controlled.
6. Time
Given the condition's progressive nature, treatment likely only slows the progression. Therefore, with enough time, most patients' disease will worsen. This is not a sign of treatment failure.
Monitoring progression
The big question when following glaucoma patients is which comes first, structural damage or functional change. Unfortunately, there is no one correct answer. In the Ocular Hypertension Treatment Study (OHTS), among patients who converted to glaucoma, 55% had optic disc changes only, 35% had visual field changes only, and 10% had both.
In clinical practice, structural changes appear first in some glaucoma patients (likely the majority), while functional changes appear first in others. Therefore, the combination of a functional test (VF analysis) and a structural measurement (disc photography or imaging) provides a more accurate diagnosis than either modality alone. It's worth noting that measuring the rate of disease progression is extremely difficult because one must differentiate true progression from that of variations in testing technique from one exam to the next.
Three factors are important when evaluating a patient for disease progression. These are IOP, structural change and functional change. The first, and most rudimentary, way we monitor for progression is to ensure that the patient's IOP is at or below target level. For patients who cannot maintain target IOP, we frequently recommend alternative or adjunctive therapy because we assume that if the patient's IOP is not well controlled, the eye will undergo progressive structural and then functional damage. The problem with this concept is that the target IOP is an arbitrary range of numbers that we pick based on clinical studies. At best, it's an estimate of how low the patient's IOP must be to prevent progression. Realistically, however, we have no way of calculating what a patient's true target IOP should be. If a patient isn't at target IOP, we must take immediate steps to reduce that pressure to an appropriate level. However, disease progression may occur even in patients who are at target IOP.
A second factor to consider in assessing glaucoma progression is structural change in the ONH. With the aid of fundus photography and, more recently, scanning laser devices, we can accurately monitor for progressive damage to the optic nerve. Progressive damage to the ONH can be detected with careful comparison of serial fundus photography, but only after enough structural damage has occurred for the clinician to notice the change. Judging disease progression through the use of photographs is extremely difficult and time-consuming.
The recent introduction of technologies, such as scanning laser polarimetry and optical coherence tomography (OCT, see figure 4), has greatly enhanced our ability to monitor subtle changes in the ONH and nerve fiber layer. In most cases, a baseline exam is obtained at the time of suspicion of glaucoma and then used to track changes through time. After the initial scan, subsequent exams are performed using the repeat function to ensure that similar scan parameters (scan placement, fixation and landmarks) are used for comparison.
The last and most time-honored method for monitoring glaucoma patients is perimetry testing to assess functional deterioration. All glaucoma patients should have a baseline VF analysis at the time of diagnosis, against which subsequent exams can be compared. Although this method provides significant insight into the progressive damage to a patient's visual field, it has several limitations.
One of the biggest limitations is that significant damage must occur prior to measurable functional loss. For example, 30% to 40% of optic nerve axons may be damaged before the defect is detected by current VF testing. Another disadvantage to this method is the subjective nature of interpretation. What one clinician calls progression another may deem a normal variation. Other limitations include poor reliability and reproducibility, as well as poor patient performance. The VF test is “long and boring” by some patients' assessment and many individuals don't do well in maintaining focus.
In the OHTS study, an attempt was made to identify the occurrence of normal VF test results following consecutive abnormal, reliable test results. A VF endpoint confirmed by three consecutive abnormal, reliable VF tests results appears to have greater specificity and sensitivity than either one or two consecutive abnormal VF test results. However, some eyes whose VF POAG endpoint was confirmed by three consecutive abnormal, reliable VF test results nonetheless had one or more normal tests on follow-up.
Analyzing the data
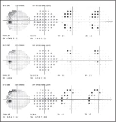
Traditional VF analysis required doctors to manually compare individual test printouts taken through time. In many cases, the technician would print an overview of a series of visual fields, and the clinician would scan through the grayscale, total deviation and pattern deviations to identify progression. Today, most major manufacturers of VF analyzers offer some form of glaucoma progression analysis (GPA) software, which helps the clinician detect progression. To illustrate how the analysis works, let's consider the GPA software for scanning laser polarimetry (GDx, Carl Zeiss Meditec). This software averages a patient's first two tests to create a baseline. For subsequent exams, the software performs a point-by-point comparison and identifies areas at high likelihood for progression.
The software uses a set of triangular markers to indicate areas of statistically significant change. These markers identify any point that has worsened by an amount that exceeds the variability expected in all but the most variable 5% (P < .05) of glaucoma patients with similar VF status (see figures 5 and 6). The symbol is shown if the change is greater than 95% of the variability seen in that exact test location in fields having a similar mean threshold deviation from normal values. Open triangles represent a point that has progressed at least once. This can occur on the first follow-up (after baseline) exam. Half-filled triangles represent points that have changed based on the above criteria in two consecutive follow-up examinations (“possible progression”) and filled triangles represent points that have changed in three consecutive follow-up exams (“likely progression”).


Figure 5. Serial visual field analysis of the right eye.


Figure 6. Serial visual field analysis of the left eye
GPA software can help determine if an area of change is a true new defect and can help identify deepening or the enlargement of existing defects. However, even when using GPA, the clinician must take into account each individual patient's ability to take the VF test, because we all know that the learning effect for this test is different among patients. Some patients make take many VF tests before they take it properly. If this happens, the user should manually select different baseline exams than the ones the machine automatically chooses.
Defects caused by other media
Another major obstacle to identifying true progression is the presence of VF defects caused by other media effects, such as cataracts or concurrent ocular diseases. Identification of progression often involves observing and interpreting the total deviations and pattern deviations of the various field printouts. Total deviation refers to change that affects the entire visual field, which can result from glaucoma but which also can result from a variety of other conditions, such as cataracts, corneal opacities or miotic pupils. Pattern deviation loss is associated with localized or focal loss, which is more typical of glaucoma.
The importance of detection
Detecting progression of glaucoma is critical for long-term patient management. Many patients who are doing well with the management protocol will eventually demonstrate some level of glaucomatous progression. The earlier this is detected, the better the long-term clinical outcome. As with many ocular conditions, the combination of modern technology and your own expertise are needed to provide the best care for your patients. OM
![]() |
Dr. Gupta practices full scope optometry in Stamford, Conn. He's also clinical director of The Center for Keratoconus at Stamford Ophthalmology. E-mail him at Deegup4919@hotmail.com. |