contact lens management
The Eye-Eating Parasite
How to identify and treat Acanthamoeba keratitis.
DIANNE ANDERSON, O.D., F.A.A.O.
Diagnosing Acanthamoeba keratitis (AK) is a clinical challenge. (See "AK Overview," below.) Its initial symptoms mimic those of bacterial keratitis (e.g. pain, tearing, redness, photophobia and decreased vision), its linear pseudodentritic pattern of epithelial and subepithelial infiltrates resembles those of herpetic keratitis, and its resistance to antibiotic and antiviral therapy is similar to that of fungal keratitis. (As a brief aside, herpetic keratitis and AK can co-exist; however, AK is almost always misdiagnosed as herpetic keratitis.)
While AK shares characteristics with these other forms of keratitis, it doesn't share the same management with them. As a result, it's crucial you quickly identify and appropriately treat this eye-eating parasite. Ongoing mistreatment allows for significant corneal involvement, oftentimes without any hope for improvement other than penetrating keratoplasty.
Here, I discuss AK red flags and how to best manage the condition.
AK OverviewAK is a devastating water-borne parasitic infection of the cornea that's caused by the ubiquitous protozoa acanthamoeba. It is comprised of both pathogenic and non-pathogenic strains. Aside from its association with contact lens use and inadequate hygiene, other risk factors include toxic keratopathy, neurotrophic keratopathy, the presence of a foreign body, history of radial keratotomy and contact lens-related corneal hypoxia. In addition to stromal radial perineuritis and devastating infiltrates, the consequences of AK include corneal microcysts, anterior uveitis, glaucomatous stromal reaction, punct-ate keratopathy, bullous keratopathy, and corneal scarring. |
Red flags
The four red flags for AK:
1. Contact lens exposure to water. More than 20 different species of acanthamoeba exist — the majority of which are located in soil and all types of water, such as tap water, hot tubs, pools, rivers, lakes and oceans. The active form of acanthamoeba protozoa is called trophozoites. These can bind to specific proteins on a corneal surface that has been abraded by contact lens wear or trauma. These bound trophozoites produce a cytotoxic protease enzyme that destroys corneal integrity and provides the mechanism for acanthamoeba to create keratitis. As the trophozoites burrow deeper into the cornea, stromal infiltrates appear in a radial pattern termed "radial perineuritis."
2. A persistent, painful keratitis that is not self-limiting. Unlike common forms of bacterial and viral keratitis, which have the potential to resolve on their own, AK actually gets worse with time. Patients suffering from AK show little-to-no improvement when left untreated or when treated with antibiotics or antiviral drugs.
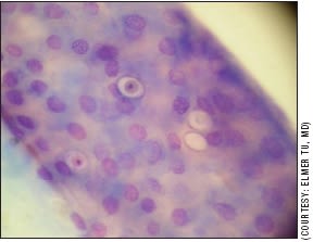
3. Epithelial infiltrates unresponsive to broad-spectrum topical antibiotics, which also culture negative for bacterial or fungal pathogens. Initial treatment with fourth generation fluoroquinolones will create an unfavorable environment for active AK trophozoites, causing them to convert into dormant cysts, which are able to survive for many years. This can provide a false sense that the condition is resolving. You should use special culture media, such as Amies media swab or Page's amoeba saline, to identify acanthamoeba cysts from corneal scrapings. (See figure 1.) These cultures, however, can often be falsely negative because they'll show the presence of bacteria, as acanthamoeba can co-exist with the bacterial colonies upon which it feeds. As a result, you should rely on the presence of cysts upon confocal microscopy and the appearance of radial perineuritis.
Figure 1: Acanthamoeba cysts are visible in this scraping of corneal epithelium.
4. Confocal miscroscopy reveals a clear differentiation between acanthamoeba cysts and fusarium hyphae in the epithelium. Acanthamoeba cysts appear as small, round, illuminated transparencies within the corneal epithelium. Fusarium hyphae appear as linear transparencies. (See figure 2.)
Figure 2: Confocal microscopy reveals the different appearance of acanthamoeba cysts vs. Fusarium hyphae in the corneal epithelium.
Management
Treatment of AK is much like chemotherapy. You must use topical antiseptics, which are very toxic to the cornea, to eradicate AK cysts. A combination of specially formulated biguanides, such as chlorhexidine, 0.02%, desomedine 0.1%, polyhexamethyl biguanide 0.02%, propamidine isethionate, polymyxin-B and clotrimazole 1%, are considered primary medical treatment. A highly qualified pharmacist must compound these drugs and can help you determine the proper combination and dosage for each case.
You should taper dosing based on the patient's response, with the average course of treatment lasting two-to-three months. Careful follow-up is necessary thereafter to ensure you catch dormant cyst reactivation early. Topical steroids for associated inflammation is contraindicated until the corneal tissue has stabilized and no signs of residual cysts appear on repeat confocal microscopy.
A future possible treatment for AK may be collagen cross linking with riboflavin and UVA radiation to eradicate the acanthamoeba protozoa from the corneal epithelium and stroma.1
Summer is a particularly timely season to remind your contact lens patients of the dangers of AK, as most, if not all will be swimming in oceans, lakes, pools, rivers and lounging in hot tubs. After reminding them to avoid contact lens wear during these activities, also remind them to never rinse their lenses and lens cases in tap water, to avoid wearing lenses while showering, and to follow your lens care instructions. For patients who become exposed to these questionable water sources, hydrogen peroxide-based solutions are recommended for both full disinfection and patient compliance. OM
1. Clinicaltrials.gov: a service of the U.S. National Institutes of Health. Cross Linking for Treatment of Corneal Infection. http://clinicaltrials.gov/ct2/show/NCT00912509. Accessed May 19, 2010.
DR. ANDERSON PRACTICES IN SUBURBAN CHICAGO, SPECIALIZING IN ORTHOKERATOLOGY, KERATOCONUS, POSTSURGICAL LENS FITS AND ANTERIOR SEGMENT DISEASE. E-MAIL HER AT DIANNE.ANDERSON@COMCAST.NET.


